Byłam u dr Renaty Golińskiej na konsultacji w ramach drugiej opinii przed założeniem aparatu stałego i jestem pod dużym wrażeniem wizyty.
Badanie zostało przeprowadzone bardzo dokładnie, również manualnie – Pani Doktor zbadała wszystkie stawy twarzoczaszki, co wcześniej nie było tak szczegółowo analizowane. Otrzymałam jasne wyjaśnienie, dlaczego proponowane jest konkretne leczenie i z czego ono wynika. Wszystko zostało omówione spokojnie i rzeczowo.
Pani Doktor wzbudza duże zaufanie, widać ogromną wiedzę i doświadczenie. Czułam się zaopiekowana i potraktowana indywidualnie.
Na plus także organizacja – dostępny parking dla pacjentów, przyjazny gabinet i komfortowa poczekalnia.
To była bardzo wartościowa konsultacja.
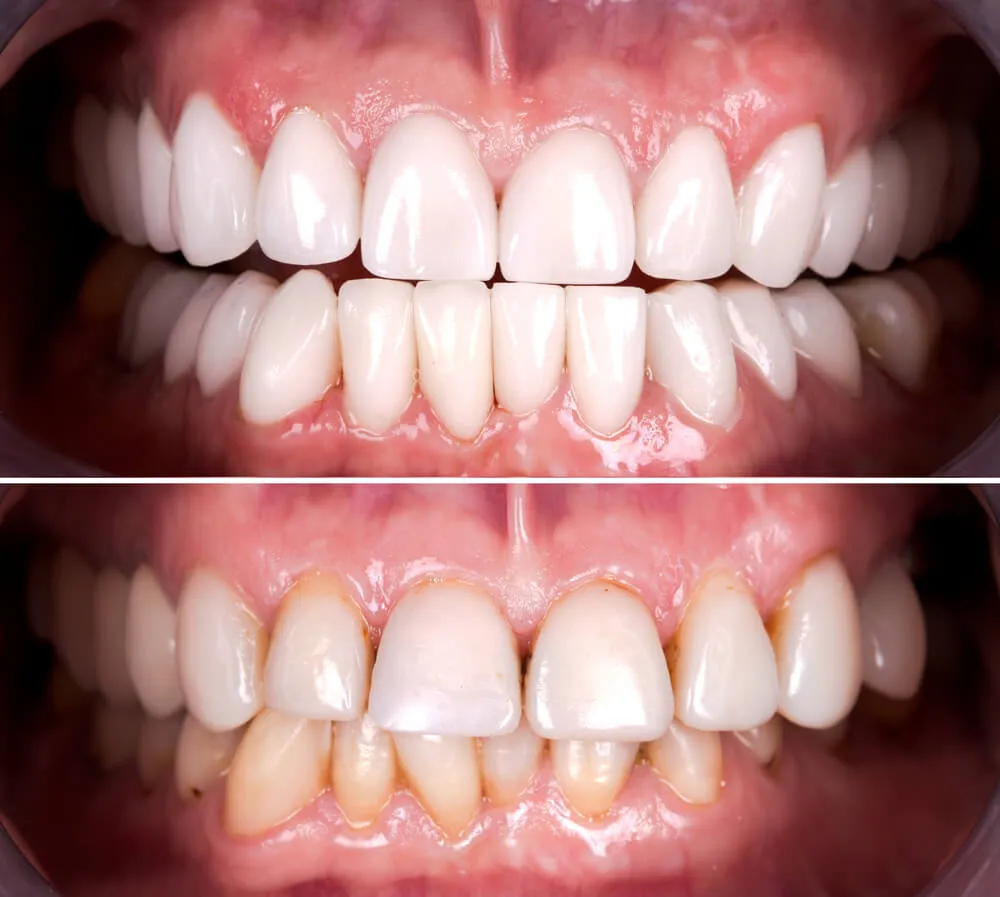
Nakładki ortodontyczne przed i po – efekty leczenia w Łodzi
Jak wygląda uśmiech po leczeniu nakładkami ortodontycznymi? Sprawdź rzeczywiste przypadki pacjentów OrtoRodzina – zdjęcia przed i po korekcie stłoczeń, diastemy, tyłozgryzu i innych wad. Każda metamorfoza zaczyna się od konsultacji i cyfrowej symulacji efektu końcowego, którą zobaczysz jeszcze przed podjęciem decyzji. Umów się na wizytę i dowiedz się, jak może wyglądać Twój uśmiech.
- Rzeczywiste przypadki – zdjęcia przed i po leczeniu nakładkami pacjentów OrtoRodzina
- Stłoczenia, diastemy, tyłozgryz, zgryz otwarty – galeria różnych wad i efektów
- Cyfrowa symulacja przed startem – widzisz swój efekt końcowy zanim zaczniesz leczenie
- Efekty porównywalne z aparatem stałym – przy właściwych wskazaniach i noszeniu szyn
- Lek. dent. Ludmiła Rodziewicz – ortodontolog z doświadczeniem w leczeniu nakładkami
Nakładki ortodontyczne przed i po – co mówią prawdziwe efekty leczenia?
Zdjęcia przed i po to dla wielu pacjentów decydujący argument przy wyborze metody leczenia. Rozumiemy to doskonale — trudno uwierzyć w efekty, których jeszcze nie widziałeś na sobie. Dlatego w OrtoRodzina pokazujemy nie tylko przypadki innych pacjentów, ale też cyfrową symulację Twojego własnego efektu końcowego — zanim jeszcze zamówisz pierwszą szynę. Widzisz, jak mogą wyglądać Twoje zęby po leczeniu, i dopiero wtedy podejmujesz decyzję.
Nakładki ortodontyczne dają najlepsze efekty wizualne przy wadach umiarkowanych: stłoczeniach zębów, szparach i diastemie, lekkich rotacjach oraz drobnych wadach przednio-tylnych. Właśnie takie przypadki dominują w naszej galerii — bo to najczęstsze wady wśród pacjentów dorosłych i młodzieży zgłaszających się do OrtoRodzina. Każdy opublikowany przypadek to udokumentowane zdjęcia z rzeczywistego leczenia, nie animacje reklamowe.
Ważna informacja: efekty pokazane na tej stronie są reprezentatywne, ale indywidualne. Czas leczenia, liczba szyn i końcowy rezultat zależą od rodzaju i nasilenia wady, a przede wszystkim od sumienności noszenia szyn przez pacjenta. Jeśli chcesz ocenić, jakich efektów możesz się spodziewać w swoim przypadku — umów konsultację. Ocena ortodontyczna i symulacja efektu dostępne są na pierwszej konsultacji ortodontycznej (300 zł). Przegląd typowych efektów nakładek dla różnych wad pobierz na stronie efekty nakładek ortodontycznych.
- Cyfrowa symulacja efektu końcowego – widzisz swoje zęby po leczeniu przed decyzją
- Galeria rzeczywistych przypadków – zdjęcia przed i po leczeniu nakładkami w OrtoRodzina
- Najlepsze efekty przy stłoczeniach, diastemie, rotacjach i wadach umiarkowanych
- Efekty trwałe przy retencji – retainer naklejony lub szyna nocna utrzymują wyniki bezterminowo
Przed i po leczeniu nakładkami – przypadki z OrtoRodzina Łódź
Każdy z poniższych przypadków to rzeczywisty pacjent leczony w OrtoRodzina. Zdjęcia dokumentują stan przed startem leczenia i po jego zakończeniu.
Przed
Po
Stłoczenie zębów – wyrównanie łuku nakładkami
Umiarkowane stłoczenie w odcinku przednim żuchwy i szczęki. Pełne wyrównanie łuku bez aparatu stałego — efekt po 14 miesiącach leczenia.
Stłoczenie zębów – leczenie nakładkami →
Przed
Po
Diastema – zamknięcie szpary między siekaczami
Diastema centralna o szerokości ok. 3 mm u dorosłej pacjentki. Zamknięcie szpary nakładkami w 9 miesiącach, retainer naklejony po zakończeniu leczenia.
Diastema – leczenie nakładkami Łódź →
Przed
Po
Tyłozgryz lekki + stłoczenie – korekcja kombinowana
Tyłozgryz klasy II z towarzyszącym stłoczeniem zębów przednich. Leczenie nakładkami z gumkami ortodontycznymi — poprawa relacji zgryzowej i wyrównanie łuków w 18 miesiącach.
Tyłozgryz – leczenie nakładkami Łódź →
Przed
Po
Zgryz otwarty przedni – korekcja nakładkami
Zgryz otwarty w odcinku przednim o nasileniu umiarkowanym. Korekcja z użyciem nakładek z attachmentami ekstruzyjnymi — zamknięcie zgryzu i poprawa wymowy w 20 miesiącach.
Zgryz otwarty – leczenie nakładkami Łódź →
Przed
Po
Zgryz głęboki – obniżenie nagryzu pionowego nakładkami
Głęboki nagryz pionowy z przykryciem siekaczy dolnych w ponad 50%. Korekcja nakładkami z bite ramps i attachmentami intrudującymi — normalizacja nagryzu i poprawa funkcji żucia w 16 miesiącach.
Wady zgryzu – leczenie nakładkami Łódź →
Przed
Po
Zgryz krzyżowy boczny – korekcja nakładkami z attachmentami
Jednostronny zgryz krzyżowy boczny ze skrzyżowaniem zębów bocznych. Korekcja nakładkami z precyzyjnymi attachmentami – normalizacja relacji bocznych i poprawa funkcji stawów skroniowo-żuchwowych w 15 miesiącach.
Zgryz krzyżowy – leczenie nakładkami Łódź →Chcesz zobaczyć, jak mogą wyglądać Twoje zęby? Umów konsultację i uzyskaj cyfrową symulację efektu końcowego.
Zobacz całą galerię metamorfozStłoczenie zębów przed i po nakładkach – najczęstszy leczona wada w OrtoRodzina
Zdjęcia stłoczonych zębów przed i po leczeniu nakładkami to zdecydowanie najliczniejsza kategoria w naszej galerii przypadków. Nie powinno to dziwić: stłoczenie zębów to najczęstsza wada ortodontyczna u dorosłych, dotykająca ponad połowy dorosłej populacji w różnym stopniu nasilenia. I jednocześnie wada, przy której nakładki dają wyjątkowo satysfakcjonujące efekty wizualne — kontrast między stanem przed i po leczeniu jest duży i łatwy do zauważenia nawet przez niespecjalistę.
Po leczeniu nakładkami przy stłoczeniach widać przede wszystkim: wyrównany łuk zębowy bez zachodzenia i skręcenia zębów, możliwość poprawnego szczotkowania każdego zęba (co oznacza koniec z próchnicy i problemami dziąsłowymi w tych miejscach), a często też zauważalne poszerzenie uśmiechu — bo zęby, które wcześniej chowały się za sąsiednimi, teraz zajmują właściwe miejsce w łuku.
Co wyróżnia efekty nakładek przy stłoczeniach? Możliwość precyzyjnego planowania każdego milimetra ruchu zębowego w cyfrowym oprogramowaniu — ortodonta widzi z góry, jak każdy ząb przemieści się w trakcie leczenia. Przy stłoczeniach łagodnych (do ok. 4 mm niedoboru miejsca) efekt jest zwykle osiągany w czasie 9–12 miesięcy; przy umiarkowanych (4–6 mm) w ciągu 12–18 miesięcy. Szczegółowe omówienie korekty stłoczeń znajdziesz na stronie stłoczenie zębów – leczenie i efekty.
- Stłoczenie łagodne (do 4 mm) – efekt osiągany w 9–12 miesiącach leczenia nakładkami
- Stłoczenie umiarkowane (4–6 mm) – pełne wyrównanie łuku w 12–18 miesiącach
- IPR (kontrolowane ścieranie kontaktów) – precyzyjne pozyskanie miejsca dla przemieszczanych zębów
- Efekt wizualny: wyrównany łuk, bez zachodzenia zębów, szerszy i zdrowszy uśmiech
Diastema i szpary między zębami – efekty nakładek przed i po
Wśród pacjentów, którzy decydują się na nakładki ze względu na szybkie i wyraźne efekty wizualne, bardzo liczną grupę stanowią osoby z diastemą. Szpara między górnymi siekaczami to wada, która rzuca się w oczy przy każdym uśmiechu — i jednocześnie wada, przy której nakładki dają jedne z najszybszych efektów wizualnych ze wszystkich rodzajów korekty.
Dlaczego efekty przy diastemie są tak wyraźne? Ponieważ zamknięcie szpary to ruch w jednej płaszczyźnie, angażujący tylko dwa lub kilka zębów, a kontrast między stanem przed i po jest dosłownie widoczny z odległości kilku metrów. Przy diastemie centralnej o szerokości 2–3 mm efekt zamknięcia szpary jest osiągany najczęściej w ciągu 6–9 miesięcy. Przy szerszych szparach lub przy towarzyszącym stłoczeniu plan leczenia jest bardziej rozbudowany, ale efekt końcowy nadal w pełni osiągalny nakładkami.
Ważne: po zamknięciu diastemy nakładkami konieczny jest retainer naklejony od wewnętrznej strony siekaczy. Szpara ma biologiczną tendencję do powracania — szczególnie jeśli jej przyczyną był przerost wędzidełka lub nacisk języka. Retainer jest elementem leczenia, nie opcją dodatkową. Koszt retainera naklejanego to od 850 zł za jedną szczękę. Więcej o tym problemie przeczytasz na stronie diastema – leczenie Łódź.
- Diastema 2–3 mm – zamknięcie szpary nakładkami w 6–9 miesiącach, często szybciej
- Wyraźny efekt wizualny już po kilku pierwszych tygodniach leczenia
- Retainer naklejony po leczeniu – obowiązkowy, by efekt nie powrócił
- Brak aparatu widocznego z zewnątrz przez cały czas leczenia diastemy
Tyłozgryz i przodozgryz przed i po nakładkach – efekty przy wadach relacyjnych
Wady przednio-tylne — tyłozgryz (zgryz II klasy) i lekki przodozgryz (zgryz III klasy) — to często przypadki, przy których pacjenci mają wątpliwości: czy nakładki wystarczą? Odpowiedź brzmi: zależy od nasilenia wady. Przy tyłozgryzie i przodozgryzie łagodnym do umiarkowanego nakładki dają dobre i powtarzalne efekty — szczególnie gdy dysharmonia ma charakter zębowy, a nie szkieletowy.
Przy tyłozgryzie klasy II nakładki są często stosowane razem z gumkami ortodontycznymi (elastics), które wzmacniają siłę działającą na relację szczęk. Para gumek założona między górne a dolne zaczepy powoduje przesuwanie dolnego łuku ku przodowi — efekt widoczny zarówno na zdjęciach przed i po, jak i w profilu twarzy. U pacjentów z tyłozgryzem poprawa zarówno relacji zgryzowej, jak i estetyki profilu twarzy jest często podwójną nagrodą za ukończone leczenie.
Przy cięższych wadach szkieletowych lub przy dużej dyskrepancji wielkości szczęk ortodonta może zalecić leczenie aparatem stałym lub — przy wadach bardzo nasilonych — konsultację chirurgii ortognatycznej. Każdy przypadek wady przednio-tylnej oceniamy na podstawie zdjęcia RTG i analizy cefalometrycznej jawnej. Więcej o leczeniu tyłozgryzu nakładkami: tyłozgryz – leczenie Łódź.
- Tyłozgryz łagodny–umiarkowany – dobre efekty nakładkami, często z gumkami ortodontycznymi
- Eliminacja wady zębowej i poprawa profilu twarzy – podwójny efekt leczenia
- Analiza cefalometryczna – konieczna do oceny, czy wada jest zębowa czy szkieletowa
- Przy wadach szkieletowych ciężkich – aparat stały lub chirurgia ortognatyczna
Jakie wady leczymy nakładkami ortodontycznymi – wskazania do leczenia
Nakładki ortodontyczne dają najlepsze efekty przy konkretnych wadach zgryzu. Sprawdź, czy Twój przypadek należy do tej grupy.
-
Stłoczenie zębów
Zęby zachodzące na siebie, skręcone lub wychylone poza łuk. Nakładki korygują stłoczenia łagodne i umiarkowane — to najczęstszy przypadek leczony nakładkami w OrtoRodzina.
-
Diastema i szpary między zębami
Szpara między górnymi siekaczami lub rozsunięte zęby w innych miejscach łuku. Nakładki zamykają szpary systematycznie — efekt zwykle szybszy niż przy innych wadach.
-
Rotacje zębów
Zęby obrócone wokół własnej osi. Nakładki z attachmentami rotacyjnymi korygują nawet trudne rotacje przedtrzonowców i kłów z dużą precyzją.
-
Tyłozgryz lekki – klasa II
Cofnięta żuchwa, wyraźne nagryzanie siekaczy górnych na dolne. Nakładki z gumkami ortodontycznymi poprawiają relację szczęk przy wadzie o charakterze zębowym.
-
Lekki przodozgryz – klasa III
Wysunięta żuchwa, zwarcie dolnych zębów przed górnymi. Nakładki poprawiają relację przy wadach o małym nasileniu bez komponentu szkieletowego.
-
Zgryz otwarty przedni
Brak kontaktu zębów przednich przy zamkniętych bocznych. Nakładki z attachmentami ekstruzyjnymi zamykają zgryz otwarty — przy wadzie o umiarkowanym nasileniu dają dobre efekty.
-
Zgryz głęboki (nagryz pionowy)
Nadmierne zachodzenie siekaczy górnych na dolne. Nakładki obniżają nagryz pionowy dzięki efektowi intrudowania przednich segmentów i unoszeniu tylnych.
-
Nawrot wady po leczeniu
Zęby, które wróciły do nieprawidłowych pozycji po poprzedniej korekcie. Nakładki są często najszybszą i najmniej inwazyjną metodą korekty nawrotu u dorosłych.
Chcesz zobaczyć swój efekt przed startem leczenia? Zrobimy symulację 3D.
W OrtoRodzina przed zamówieniem pierwszej szyny pokazujemy cyfrową symulację efektu końcowego Twojego leczenia — widzisz własne zęby, a nie reklamową animację. Klinika ortodontyczna Łódź Widzew, ul. Maćka z Bogdańca 16C. Ceny orientacyjne — ostateczna wycena po konsultacji z ortodontą.
Co mówią pacjenci po leczeniu nakładkami ortodontycznymi w OrtoRodzina?
Nakładki przed i po – najczęściej zadawane pytania o efekty
Pierwsze widoczne zmiany pojawiają się zazwyczaj po 2–3 miesiącach leczenia — szczególnie przy stłoczeniach i diastemie, gdzie ruch zębów jest wyraźnie zauważalny już po kilku pierwszych zestawach szyn. Pełny efekt końcowy widoczny jest po zakończeniu aktywnego leczenia, czyli po wymianie ostatniej szyny. Co ważne: w OrtoRodzina przed startem leczenia pokazujemy cyfrową symulację efektu — wiesz, dokąd zmierzasz, zanim zaczniesz.
Tak — pod warunkiem stosowania retencji po leczeniu. Bez retainera zęby zawsze mają tendencję do nawracania ku poprzednim pozycjom — to biologiczna właściwość wyrostka zębodołowego, niezależna od metody leczenia ani ortodonty. Retainer naklejony od wewnętrznej strony zębów (od 850 zł/szczękę) lub szyna retencyjna nocna (od 900 zł/szczękę) utrwalają efekty bezterminowo. Przy regularnej retencji pacjenci zachowują wyniki przez dekady. Więcej o tym na stronie retencja po leczeniu ortodontycznym.
Najlepsze i najbardziej widoczne efekty nakładki dają przy: stłoczeniach zębów (łagodnych i umiarkowanych), diastemie i szparach między zębami, rotacjach zębów oraz drobnych wadach relacyjnych (lekki tyłozgryz, lekki przodozgryz). To przypadki, w których efekty są porównywalne z aparatem stałym, a kontrast między zdjęciami przed i po leczeniem jest najbardziej wyraźny. Przy złożonych wadach szkieletowych lub wyraźnych dyskrepancjach rozmiarów szczęk aparat stały może dać pewniejszy efekt.
Czas leczenia nakładkami zależy od rodzaju i nasilenia wady. Orientacyjnie: diastema do 3 mm – 6–9 miesięcy; stłoczenie łagodne – 9–12 miesięcy; stłoczenie umiarkowane – 12–18 miesięcy; tyłozgryz z towarzyszącymi wadami – 16–24 miesiące; zgryz otwarty – 18–24 miesiące. To wartości orientacyjne — rzeczywisty czas zależy od indywidualnego przypadku i regularności noszenia szyn. Dokładny plan z harmonogramem leczenia otrzymasz podczas konsultacji. Szczegółowe omówienie znajdziesz na stronie przebieg leczenia nakładkami.
Zęby stopniowo wracają ku poprzednim pozycjom — szybciej lub wolniej, zależnie od rodzaju wady i indywidualnej plastyczności tkanek. Przy stłoczeniach i rotacjach nawrót jest najczęstszy i potrafi być widoczny już po kilku tygodniach bez retainera. Przy diastemie szpara zaczyna wracać przeciętnie po kilku miesiącach. Dlatego traktujemy retencję jako integralny element leczenia — nie opcję. Jeśli retainer naklejony się odkleił lub zgubiłeś szynę retencyjną, umów się jak najszybciej — każdy dzień bez zabezpieczenia to potencjalny nawrót.
Tak — w OrtoRodzina dokumentujemy postęp leczenia fotograficznie na każdej wizycie kontrolnej. Możesz śledzić zmiany na bieżąco i porównywać zdjęcia z kolejnych wizyt. To jeden z elementów, który motywuje pacjentów do sumiennego noszenia szyn — kiedy widzisz własny postęp co 8–10 tygodni, trudno odpuścić.
Koszt leczenia nakładkami ortodontycznymi w OrtoRodzina ustalany jest indywidualnie po diagnostyce — szczegółową wycenę otrzymujesz już na pierwszej konsultacji (300 zł). W cenie leczenia są wszystkie szyny planu, wizyty kontrolne przez cały czas terapii i dokumentacja fotograficzna postępu. Retencja po leczeniu: retainer naklejony stały od 850 zł/szczękę lub szyna retencyjna nocna od 900 zł/szczękę. Ceny orientacyjne — ostateczna wycena po konsultacji z ortodontą i ocenie przypadku. Szczegółowy cennik na stronie cena nakładek ortodontycznych.
Tak. Wszystkie przypadki prezentowane na stronie OrtoRodzina to rzeczywiste zdjęcia pacjentów naszej kliniki wykonane przed startem leczenia i po jego zakończeniu. Publikujemy je wyłącznie za zgodą pacjenta i bez danych osobowych. Nie używamy animacji reklamowych ani zdjęć stockowych. Każdy opisany parametr (wada, czas leczenia, wiek) to dane z dokumentacji klinicznej.
Inne usługi w OrtoRodzina Łódź
Uzupełnij leczenie ortodontyczne o higienizację, stomatologię zachowawczą lub zadbaj o zdrowie stawów skroniowo-żuchwowych.
Higienizacja zębów
Skaling, piaskowanie i fluoryzacja. Zdrowe dziąsła i czyste zęby to warunek skutecznego leczenia ortodontycznego — higienizację wykonujemy przed startem i w trakcie leczenia nakładkami.
Dowiedz się więcej
Stomatologia zachowawcza
Leczenie próchnicy, odbudowa zębów kompozytem, wypełnienia. Przed leczeniem ortodontycznym leczymy wszystkie aktywne ogniska próchnicy — zdrowe zęby to podstawa.
Dowiedz się więcej
Leczenie bruksizmu
Szyna relaksacyjna i szyna okluzyjna na nocne zgrzytanie i zaciskanie zębów. Bruksizm często współwystępuje z wadami zgryzu — po leczeniu ortodontycznym oceniamy też funkcję stawów.
Dowiedz się więcej
Protetyka stomatologiczna
Korony, mosty, licówki i protezy szkieletowe. Jeśli po korekcie zgryzu potrzebujesz odbudowy lub uzupełnienia braków — protetyka jest kolejnym krokiem w naszej klinice.
Dowiedz się więcej
Aparaty ortodontyczne
Aparat stały to alternatywa dla nakładek przy złożonych wadach. Dowiedz się, kiedy metalowy lub ceramiczny aparat sprawdzi się lepiej niż nakładki.
Dowiedz się więcej
Ortodoncja dla dorosłych
Leczenie ortodontyczne u dorosłych — nakładkami lub aparatem stałym. Sprawdź, jak wiek i stan przyzębia wpływają na wybór metody i oczekiwane efekty.
Dowiedz się więcejUmów konsultację i zobaczysz symulację efektu zanim zaczniesz leczenie
Każde leczenie nakładkami w OrtoRodzina zaczyna się od konsultacji ortodontycznej i cyfrowej symulacji efektu końcowego – widzisz, jak mogą wyglądać Twoje zęby, zanim zamówimy pierwszą szynę. Lek. dent. Ludmiła Rodziewicz oceni Twój przypadek, dobierze metodę leczenia i przedstawi szczegółowy plan z kosztorysem. Zapraszamy do kliniki przy ul. Maćka z Bogdańca 16C, 92-434 Łódź. Ceny orientacyjne — ostateczna wycena po konsultacji z ortodontą.
Ortodoncja
Umów konsultację ortodontyczną w Łodzi
Podczas konsultacji ortodontycznej w naszej klinice przy ul. Maćka z Bogdańca 16C w Łodzi:
- ocenimy wadę zgryzu i wykonamy diagnostykę
- omówimy dostępne metody leczenia
- przedstawimy orientacyjny koszt terapii
- zaplanujemy kolejne etapy leczenia
Jeśli interesują Cię aparaty ortodontyczne, nakładki ortodontyczne lub chcesz poznać orientacyjny koszt leczenia — zostaw dane w formularzu lub zadzwoń do nas bezpośrednio.
Masz pytanie o leczenie ortodontyczne? Nasz zespół pomoże dobrać najlepszą metodę dopasowaną do Twojej wady zgryzu.
+48 507 090 990Pon. – Pt. 9:00–20:00
- doświadczeni ortodonci
- nowoczesna diagnostyka 3D
- leczenie dzieci i dorosłych
- indywidualny plan leczenia
- Łódź – Widzew · Maćka 16C
Zostaw dane — oddzwonimy jeszcze dziś.
Oddzwaniamy w godzinach pracy kliniki — zwykle jeszcze tego samego dnia.
-
Adres
ul. Maćka z Bogdańca 16C
92-434 Łódź, Widzew - Telefon +48 507 090 990
-
Godziny otwarcia
Pon. – Pt.: 9:00 – 20:00
Sob. – Nd.: Zamknięte
