Byłam u dr Renaty Golińskiej na konsultacji w ramach drugiej opinii przed założeniem aparatu stałego i jestem pod dużym wrażeniem wizyty.
Badanie zostało przeprowadzone bardzo dokładnie, również manualnie – Pani Doktor zbadała wszystkie stawy twarzoczaszki, co wcześniej nie było tak szczegółowo analizowane. Otrzymałam jasne wyjaśnienie, dlaczego proponowane jest konkretne leczenie i z czego ono wynika. Wszystko zostało omówione spokojnie i rzeczowo.
Pani Doktor wzbudza duże zaufanie, widać ogromną wiedzę i doświadczenie. Czułam się zaopiekowana i potraktowana indywidualnie.
Na plus także organizacja – dostępny parking dla pacjentów, przyjazny gabinet i komfortowa poczekalnia.
To była bardzo wartościowa konsultacja.
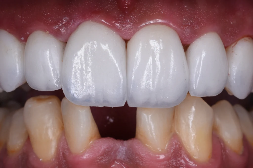
Bonding stomatologiczny w Łodzi – korekcja i odbudowa zębów bez szlifowania
Szczerba, przebarwienie, diastema, zbyt krótki ząb — bonding stomatologiczny pozwala skorygować większość defektów estetycznych w trakcie jednej wizyty, bez szlifowania zdrowej struktury zęba. Kompozyt nano-hybrydowy nanoszony warstwami i modelowany bezpośrednio w ustach daje efekt naturalny i trwały do 5–10 lat. W OrtoRodzina bonding wykonuje doświadczony lekarz z precyzją mikroestetyczną. Umów konsultację estetyczną i sprawdź, co można zmienić bez ingerencji w zdrowe zęby.
- Bez szlifowania zdrowej tkanki zęba – wystarczy wytrawienie szkliwa
- Efekt w trakcie jednej wizyty – bez laboratorium, bez odcisków
- Usuwamy szczerby, zamykamy szpary, wyrównujemy kształt i kolor – zakres korekcji ustalasz z lekarzem
- Trwałość 5–10 lat przy odpowiedniej higienie i bez przeciążeń zgryzowych
- Efekt nieodróżnialny od naturalnych zębów – nikt nie pozna, że to kompozyt
Czym jest bonding stomatologiczny i kiedy go stosujemy?
Bonding stomatologiczny (dental bonding) to technika estetycznej odbudowy i korekcji zębów przy użyciu kompozytu nano-hybrydowego — materiału złożonego, który lekarz nanosi bezpośrednio na ząb, modeluje ręcznie w żądany kształt i utwardza lampą polimeryzacyjną. Cały proces odbywa się podczas jednej wizyty, bez konieczności wysyłania modeli do laboratorium protetycznego.
Bonding stomatologiczny w Łodzi jest wybierany przez pacjentów, którzy chcą szybkiej, minimalnie inwazyjnej korekty estetycznej — bez szlifowania zębów wymaganego przy licówkach porcelanowych. Zabieg jest odwracalny: nie zmieniona tkanka zęba pozwala w przyszłości zdecydować się na licówki lub koronę, gdy zmienią się potrzeby lub preferencje.
Kompozyt naśladuje naturalny wygląd szkliwa i zębiny, jest polerowany do błysku i w prawidłowych warunkach eksploatacji pozostaje niewidoczny przez wiele lat. W OrtoRodzina bonding łączymy z wybielaniem zębów i higienizacją — zawsze w odpowiedniej sekwencji, która decyduje o trwałości efektu.
- Zabieg bezpośredni – kompozyt modelowany w gabinecie, efekt widoczny od razu
- Minimalnie inwazyjna – w typowych przypadkach bez wiertła, wystarczy wytrawienie szkliwa
- Odwracalna – niezmieniona tkanka zęba daje swobodę wyboru w przyszłości
- Wszechstronna – korekcja kształtu, koloru, długości i szczerb w jednym zabiegu
Bonding kompozytowy krok po kroku – jak przebiega zabieg
Przed przystąpieniem do bondingu wykonujemy analizę estetyczną uśmiechu: oceniamy proporcje zębów, linie uśmiechu, symetrię i kolorystykę. Dobieramy kolor kompozytu przy naturalnym oświetleniu z użyciem wzornika VITA, tak aby harmonizował z resztą uzębienia zarówno w świetle sztucznym, jak i dziennym.
Przygotowanie powierzchni zęba jest minimalne. W zdecydowanej większości przypadków nie stosujemy wiertła — wystarczy wytrawienie szkliwa kwasem ortofosforowym przez 15–30 sekund. Wytwarza to mikrochropowatość, do której adheruje bonding agent. Kompozyt nakładamy cienkimi warstwami — warstwę zębinową, emaliową i powierzchniową — każdą utwardzając lampą LED.
Ostatni etap to polerowanie w kilku gradacjach (gumki polerskie, dyski Soflex, pasta abrazyjna), które nadaje gotowemu bondingowi połysk zbliżony do naturalnego szkliwa. Całość wizyty zajmuje 45–90 minut w zależności od liczby zębów. Po wyjściu z gabinetu pacjent widzi gotowy efekt bez żadnego okresu przejściowego.
- Kolor dobieramy przy naturalnym świetle przed zabiegiem – efekt nie zaskoczy po wyjściu z gabinetu
- Bez wiertła w typowych przypadkach – wystarczy delikatne wytrawienie powierzchni zęba
- Efekt widoczny od razu – lekarz modeluje kompozyt w Twoich ustach, bez czekania na laboratorium
- Polerowanie wieloetapowe – powierzchnia gładka jak naturalne szkliwo
Bonding a licówki porcelanowe – czym się różnią i co wybrać?
Najczęstsze pytanie pacjentów brzmi: bonding czy licówki? Obie metody służą korekcie estetycznej przednich zębów, ale różnią się istotnie pod względem trwałości, inwazyjności i kosztu.
Bonding kompozytowy ma tę przewagę, że jest jednowizytkowy, nie wymaga szlifowania zębów i jest odwracalny. Wadą jest mniejsza trwałość koloru — kompozyt może po latach absorbować barwniki z kawy czy herbaty — i większa podatność na starcie przy intensywnym użytkowaniu.
Licówki porcelanowe są trwalsze estetycznie, odporniejsze na przebarwienia i przy zachowaniu dobrej higieny służą 15–20 lat. Wymagają jednak minimalnego szlifowania krawędzi szkliwa, pracy laboratoryjnej i są kilkakrotnie droższe. W wielu przypadkach zaczynamy od bondingu jako etapu testowego — sprawdzamy nowy kształt zębów, zanim pacjent zdecyduje o trwalszym rozwiązaniu. Pełne porównanie omawiamy na stronie licówki OrtoRodzina.
- Bonding: bez szlifowania, odwracalny, gotowy w jednej wizycie
- Licówki: odporniejsze na przebarwienia, trwałość 15–20 lat estetyki
- Bonding jako etap testowy – sprawdź nowy kształt przed nieodwracalną decyzją
- Na konsultacji lekarz dobiera metodę do Twojego szkliwa i oczekiwań – odchodzisz z gotowym planem, nie ze znakiem zapytania
Wybielanie zębów przed bondingiem – dlaczego kolejność ma znaczenie
Decydując się na bonding, warto wcześniej przeprowadzić wybielanie zębów — jeśli planujesz rozjaśnienie uśmiechu. Kompozyt po polimeryzacji przyjmuje stały kolor i nie reaguje na późniejsze zabiegi wybielania tak jak naturalne szkliwo. Jeśli wybielisz zęby po bondingu, naturalne zęby staną się jaśniejsze, a bonding pozostanie w starym, ciemniejszym odcieniu — efektem będzie widoczna różnica kolorów.
Prawidłowa sekwencja to: najpierw higienizacja i wybielanie, a po 2 tygodniach od zakończenia wybielania — bonding. Przerwa jest niezbędna, ponieważ natychmiast po wybielaniu szkliwo zawiera więcej tlenu, który obniża siłę adhezji bondingu i może powodować przebarwienia na marginesie.
Jeśli nie planujesz wybielania, zabieg bondingu możemy zaplanować bezpośrednio po piaskowaniu zębów. Czyste i pozbawione osadu powierzchnie dają lepszy efekt kolorystyczny i trwalsze połączenie kompozytu ze szkliwem.
- Wybielanie zawsze przed bondingiem – kompozyt nie reaguje na późniejsze wybielanie
- 2 tygodnie przerwy po wybielaniu – szkliwo musi się ustabilizować, inaczej bonding może się przebarwić od razu
- Piaskowanie przed bondingiem – czysta powierzchnia to trwalszy efekt
- Lekarz planuje kolejność zabiegów za Ciebie – jeden plan, spójny efekt
Wskazania do bondingu – kiedy ta metoda jest właściwym wyborem?
Bonding stomatologiczny sprawdza się w szerokim zakresie defektów estetycznych i funkcjonalnych. Poniżej najczęstsze sytuacje kliniczne, w których stosujemy tę metodę w OrtoRodzina.
-
Przebarwienia niereagujące na wybielanie
Ciemne plamy po tetracyklinie, fluorozie lub strukturalne odbarwienia szkliwa nieusuwalne preparatami wybielającymi — bonding maskuje je trwale warstwą kompozytu dopasowanego kolorystycznie.
-
Szczerby i drobne urazy zębów
Ułamany fragment siekacza lub rogu zęba bocznego po urazie. Bonding odtwarza brakującą część anatomicznie i estetycznie, o ile zachowane jest wystarczające podparcie szkliwno-zębinowe.
-
Diastema i szpary między zębami
Szpara między siekaczami (diastema) lub przerwy po wcześniejszym leczeniu. Bonding może zamknąć diastemy do 3–4 mm bez aparatu — przez symetryczne poszerzenie obu zębów.
-
Zbyt krótkie lub nieregularne zęby
Zęby skrócone przez ścieranie, atrycję lub uwarunkowania anatomiczne. Bonding wydłuża i wyrównuje linię sieczną, przywracając harmonię uśmiechu i prawidłowe proporcje twarzy.
-
Mikrodoncja – zęby stożkowate lub zbyt wąskie
Boczne siekacze górne o kształcie szpilki lub kołka. Bonding nadaje im właściwy kształt i szerokość, likwidując asymetrię bez konieczności stosowania koron.
-
Odsłonięte szyjki i ubytki klinowe
Wyżłobione szyjki lub ubytki klinowe powodujące nadwrażliwość na zimno i ciepło. Bonding uszczelnia i osłania odsłoniętą zębinę — działa zarówno estetycznie, jak i profilaktycznie.
-
Wymiana ciemnych wypełnień amalgamatowych
Stare wypełnienia amalgamatowe przeświecające przez szkliwo jako szare plamy. Wymiana na biały kompozyt poprawia estetykę i eliminuje widoczny efekt przebarwienia w uśmiechu.
-
Asymetria kształtu zębów przednich
Jeden kieł wyraźnie dłuższy lub jeden siekacz odbiega kształtem od sąsiadów. Bonding precyzyjnie wyrównuje asymetrię w jednej wizycie bez ingerencji w zdrową tkankę.
Jak wygląda wizyta bondingowa krok po kroku
Bonding stomatologiczny to zabieg jednowizytkowy trwający 45–90 minut w zależności od liczby korygowanych zębów. Poniższy schemat opisuje standardowy przebieg dla korekcji 2–4 zębów przednich.
-
1. Konsultacja estetyczna i projekt uśmiechu
Lekarz analizuje zdjęcia i cyfrowe modele, omawia z pacjentem oczekiwany efekt i dobiera kolor kompozytu z użyciem wzornika VITA przy naturalnym oświetleniu. W razie potrzeby przygotowuje woskowy mockup kształtu lub cyfrową symulację zmiany — pacjent akceptuje efekt przed przystąpieniem do zabiegu.
Umów konsultację estetyczną -
2. Higienizacja i oczyszczenie powierzchni
Przed bondingiem zęby muszą być idealnie czyste. Usuwamy kamień i osad podczas skalingu lub piaskowania — plamy z kawy, herbaty lub papierosów nie mogą znajdować się pod warstwą kompozytu, bo skrócą żywotność połączenia. Higienizacja może odbyć się na poprzedniej wizycie.
Higienizacja zębów – przygotowanie do zabiegu estetycznego -
3. Izolacja pola i trawienie szkliwa
Kofferdam lub wałki śliny izolują pole pracy od wilgoci. Lekarz aplikuje żel trawiący (kwas ortofosforowy 37%) na 15–30 sekund, co wytwarza mikrochropowatość szkliwa niezbędną do mechaniczno-chemicznego wiązania. Po trawieniu — przemywanie i suszenie strumieniem powietrza.
-
4. Nanoszenie bondingu i kompozytu warstwami
Aplikacja środka wiążącego (bonding agent) i polimeryzacja lampą. Następnie nanoszenie kompozytu warstwami: warstwa zębinowa (opaker lub dentin shade), warstwa emaliowa i warstwa powierzchniowa. Każda warstwa utwardzana oddzielnie — to kluczowe dla uniknięcia naprężeń skurczowych.
-
5. Modelowanie, korekta zgryzu i wykończenie
Lekarz modeluje kształt kompozytu przy użyciu stripów, sond modelujących, krążków i drobnych frezów. Sprawdza zgryz papierem artykulacyjnym — bonding nie może powodować przedwczesnego kontaktu. Korekty zwarcia są przeprowadzane przed finalnym polerowaniem.
-
6. Polerowanie i instrukcja pielęgnacji
Polerowanie wieloetapowe: gumki polerskie, dyski Soflex, pasta polerska — efektem jest gładka, błyszcząca powierzchnia. Lekarz omawia zalecenia eksploatacji: jakich nawyków unikać, jak myć zęby z bondingiem, kiedy zgłosić się na pierwszą kontrolę i co robić przy bruksizmie.
Higienizacja – jak dbać o bonding na co dzień
Chcesz poprawić uśmiech bez szlifowania zębów i w ciągu jednej wizyty?
Zapraszamy na konsultację estetyczną do OrtoRodzina – ul. Maćka z Bogdańca 16C, 92-434 Łódź Widzew. Lekarz oceni stan Twoich zębów, dobierze kolor i zaplanuje zabieg. Zadzwoń lub umów wizytę online.
Co mówią pacjenci po bondingu stomatologicznym w OrtoRodzina?
Bonding stomatologiczny – najczęściej zadawane pytania
Koszt bondingu zależy od liczby korygowanych zębów i zakresu pracy. Cena za jeden ząb zaczyna się od 600 zł. Korekcja diastem obejmująca 2 siekacze to zazwyczaj od 1 200 zł. Rozleglejsze metamorfozy uśmiechu obejmujące 6–10 zębów wyceniane są indywidualnie po konsultacji i analizie zdjęć. Warto porównać to z licówkami porcelanowymi – od 2 200 zł za ząb — bonding jest kilkakrotnie tańszą opcją estetyczną. Aktualną wycenę zawsze podajemy po ocenie stanu szkliwa. Ceny orientacyjne — ostateczna wycena po konsultacji z lekarzem.
Zabieg bondingu 1–2 zębów trwa ok. 45–60 minut. Korekcja 4–6 zębów przednich to 90–120 minut. Przy planowaniu metamorfozy uśmiechu obejmującej 8–10 zębów rozdzielamy pracę na dwie wizyty, aby zachować komfort pracy lekarza i precyzję modelowania. Cały plan czasowy ustalamy na konsultacji — w razie potrzeby łączymy wizytę bondingową z higienizacją lub pobraniem szablonów do wybielania gabinetowego.
Standardowo bonding jest bezbolesny — nie wymaga znieczulenia, bo nie usuwamy tkanki zębowej. Wytrawienie szkliwa może wywołać chwilowe mrowienie lub delikatną nadwrażliwość. Przy odsłoniętych szyjkach lub ubytkach klinowych z nadwrażliwością lekarz proponuje miejscowe znieczulenie. Po zabiegu może pojawić się przejściowa nadwrażliwość na zimne i ciepłe — to reakcja normalna, ustępująca samoistnie w ciągu 24–48 godzin.
Trwałość bondingu wynosi przeciętnie 5–10 lat. Na długość życia bondingu wpływa kilka czynników: higiena jamy ustnej (kamień i osad przyspieszają degradację marginesów), nawyki zgryzowe (gryzienie twardych przedmiotów i bruksizm skracają trwałość) oraz dieta (kawa, herbaty, czerwone wino przebarwiają kompozyt szybciej niż szkliwo). Po kilku latach bonding może wymagać wymiany lub odświeżenia — to zabieg zbliżony do pierwotnego, zazwyczaj krótszy. Kontrola bondingu odbywa się przy każdej rutynowej wizycie higienizacyjnej.
Kompozyt bondingu nie reaguje na preparaty wybielające — żel nadtlenkowy rozjaśnia naturalne szkliwo, ale nie zmienia koloru kompozytu. Jeśli wybielisz zęby po bondingu, naturalne zęby staną się jaśniejsze, a bonding pozostanie w starym odcieniu — efektem będzie widoczna różnica. Dlatego zawsze zalecamy odwrotną kolejność: najpierw wybielanie, potem bonding. Dopiero 2 tygodnie po stabilizacji koloru wybielonego szkliwa wykonujemy bonding dopasowany do nowego, jaśniejszego odcienia.
Tak — bonding jest w pełni funkcjonalny bezpośrednio po zabiegu. Przez pierwsze 48 godzin zalecamy unikanie silnie barwiących produktów (kawa, herbata, czerwone wino, curry), bo kompozyt w fazie wczesnego dojrzewania może intensywniej chłonąć barwniki. Na stałe unikaj nawyków mechanicznie obciążających bonding: gryzienia orzechów zębami przednimi, obgryzania długopisów i paznokci. Przy bruksizmie — nocnym zgrzytaniu lub zaciskaniu zębów — koniecznie stosuj szynę relaksacyjną ochronną, bo nocne tarcie niszczy bonding wielokrotnie szybciej niż normalne użytkowanie.
Tak — to jedna z największych zalet bondingu w porównaniu z licówkami ceramicznymi. Jeśli fragment kompozytu odpryśnie lub bonding się zetnie, lekarz może dobudować brakujący fragment tą samą techniką bezpośrednią, bez konieczności wymiany całości. Warunkiem jest odpowiednia ilość zachowanego podłoża (szkliwo lub wcześniejszy bonding) i dobór odcienia jak najbliższego oryginałowi. Po kilku latach starszy bonding może miejscami zmienić kolor — wtedy warto odświeżyć go w całości na wybranym zębie.
To popularna nieścisłość — bonding bezpośredni to kompozyt nakładany i modelowany w ustach pacjenta podczas jednej wizyty. Licówka kompozytowa natomiast to odbudowa wykonana poza ustami: frezowana systemem CAD/CAM lub przygotowana w laboratorium. Licówka kompozytowa CAD/CAM jest trwalsza od bondingu bezpośredniego (lepsza polimeryzacja in vitro i gęstość materiału), ale wymaga dwóch wizyt i wyższego nakładu. Licówka porcelanowa jest najtrwalsza estetycznie — ok. 15–20 lat. Bonding bezpośredni to najszybsza i najtańsza opcja estetyczna. Pełne porównanie opisujemy na stronie licówki OrtoRodzina.
Uzupełnij efekt bondingu – stomatologia estetyczna i profilaktyczna OrtoRodzina
Bonding najlepiej sprawdza się w połączeniu z innymi zabiegami estetycznymi i profilaktycznymi. Zaplanujemy dla Ciebie pełną sekwencję.
Wybielanie zębów
Rozjaśnienie naturalnego koloru szkliwa przed dopasowaniem koloru bondingu. Efekt spójnego, jasnego uśmiechu — koniecznie przed zabiegiem, nie po.
Dowiedz się więcej
Licówki porcelanowe
Trwała, ceramiczna alternatywa dla bondingu — szczególnie przy rozległych metamorfozach uśmiechu i wyższych wymaganiach kolorystycznych i estetycznych.
Dowiedz się więcej
Higienizacja zębów
Skaling, piaskowanie i fluoryzacja przed zabiegiem estetycznym — niezbędna podstawa trwałego bondingu i zdrowej jamy ustnej przez cały czas eksploatacji.
Dowiedz się więcej
Stomatologia zachowawcza
Leczenie próchnicy i odbudowa zębów bocznych kompozytem — aby estetyczna korekcja przednich zębów nie była jedynym priorytetem podczas wizyty.
Dowiedz się więcej
Leczenie bruksizmu
Nocne zaciskanie zębów skraca trwałość bondingu. Szyna relaksacyjna chroni efekt zabiegu i Twoje zęby przez wiele lat po leczeniu.
Dowiedz się więcej
Protetyka stomatologiczna
Gdy bonding nie wystarczy — korony, mosty i licówki ceramiczne jako trwałe rozwiązanie estetyczne i funkcjonalne dla bardziej wymagających przypadków.
Dowiedz się więcejUmów konsultację estetyczną w OrtoRodzina – metamorfoza uśmiechu bez szlifowania i w jeden dzień
Szczerba, przebarwienie, diastema lub zbyt krótkie zęby — zapraszamy na konsultację do OrtoRodzina, ul. Maćka z Bogdańca 16C, 92-434 Łódź Widzew. Lek. dent. Ludmiła Rodziewicz oceni stan Twoich zębów i zaproponuje optymalny plan korekty. Zadzwoń lub zarezerwuj termin online.
Ortodoncja
Umów konsultację ortodontyczną w Łodzi
Podczas konsultacji ortodontycznej w naszej klinice przy ul. Maćka z Bogdańca 16C w Łodzi:
- ocenimy wadę zgryzu i wykonamy diagnostykę
- omówimy dostępne metody leczenia
- przedstawimy orientacyjny koszt terapii
- zaplanujemy kolejne etapy leczenia
Jeśli interesują Cię aparaty ortodontyczne, nakładki ortodontyczne lub chcesz poznać orientacyjny koszt leczenia — zostaw dane w formularzu lub zadzwoń do nas bezpośrednio.
Masz pytanie o leczenie ortodontyczne? Nasz zespół pomoże dobrać najlepszą metodę dopasowaną do Twojej wady zgryzu.
+48 507 090 990Pon. – Pt. 9:00–20:00
- doświadczeni ortodonci
- nowoczesna diagnostyka 3D
- leczenie dzieci i dorosłych
- indywidualny plan leczenia
- Łódź – Widzew · Maćka 16C
Zostaw dane — oddzwonimy jeszcze dziś.
Oddzwaniamy w godzinach pracy kliniki — zwykle jeszcze tego samego dnia.
-
Adres
ul. Maćka z Bogdańca 16C
92-434 Łódź, Widzew - Telefon +48 507 090 990
-
Godziny otwarcia
Pon. – Pt.: 9:00 – 20:00
Sob. – Nd.: Zamknięte
