Byłam u dr Renaty Golińskiej na konsultacji w ramach drugiej opinii przed założeniem aparatu stałego i jestem pod dużym wrażeniem wizyty.
Badanie zostało przeprowadzone bardzo dokładnie, również manualnie – Pani Doktor zbadała wszystkie stawy twarzoczaszki, co wcześniej nie było tak szczegółowo analizowane. Otrzymałam jasne wyjaśnienie, dlaczego proponowane jest konkretne leczenie i z czego ono wynika. Wszystko zostało omówione spokojnie i rzeczowo.
Pani Doktor wzbudza duże zaufanie, widać ogromną wiedzę i doświadczenie. Czułam się zaopiekowana i potraktowana indywidualnie.
Na plus także organizacja – dostępny parking dla pacjentów, przyjazny gabinet i komfortowa poczekalnia.
To była bardzo wartościowa konsultacja.
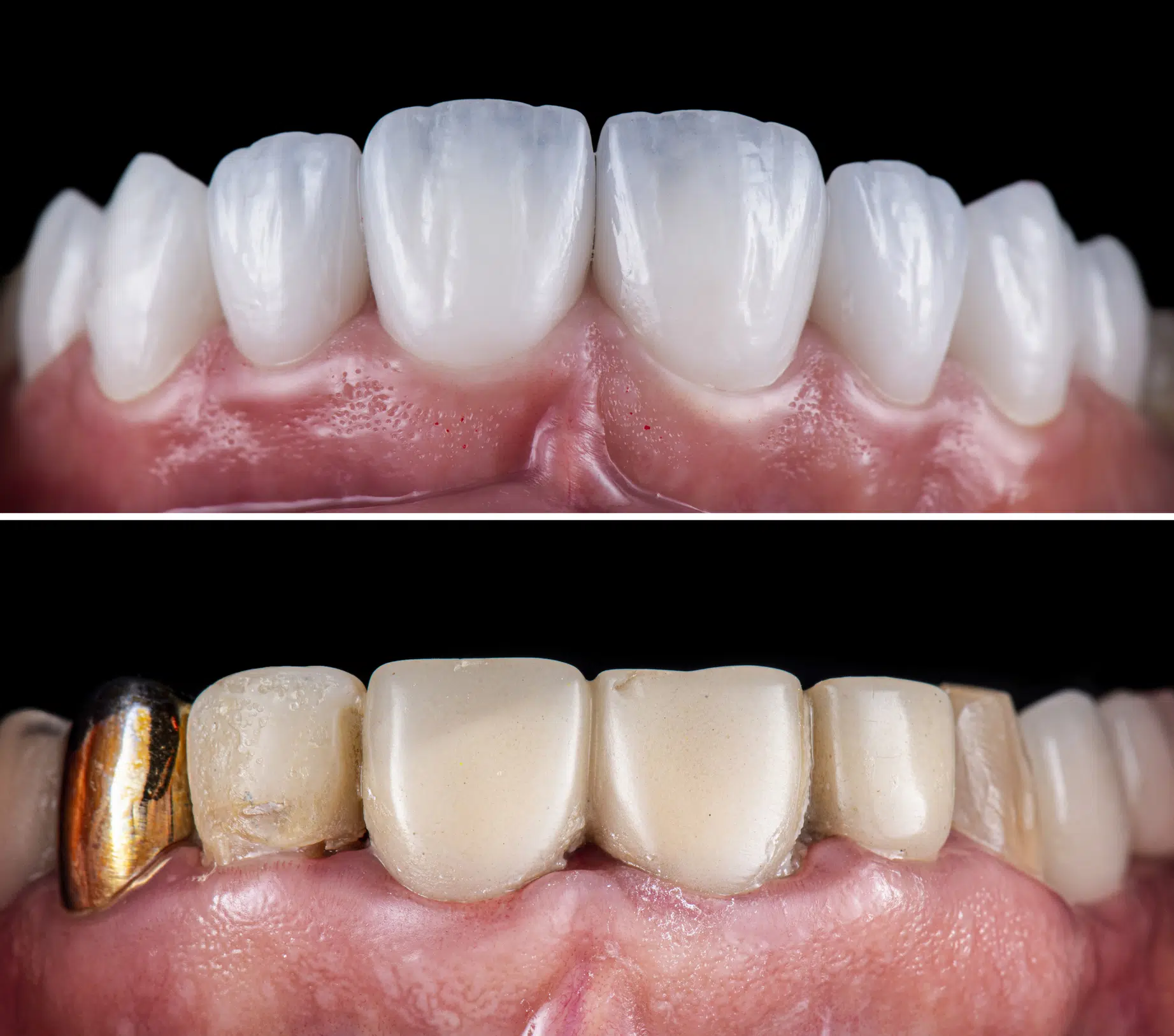
Odbudowa zęba na implancie w Łodzi
Odbudowa zęba na implancie to kompleksowe rozwiązanie przy utracie zęba – od diagnostyki CBCT i wszczepienia tytanowego implantu, przez osseointegację, aż do cyrkonowej korony nieodróżnialnej od naturalnych zębów. Planujemy każdy etap indywidualnie, od pierwszej konsultacji do finalnego uzupełnienia.
- Implant zastępuje korzeń – stymuluje kość, zapobiega zanikowi po utracie zęba
- Bez szlifowania sąsiednich zębów – naturalne zęby obok luki nienaruszone
- Cyrkonowa korona na Ti-Base – trwałość 20+ lat, kolor dobrany indywidualnie
- Plan oparty na tomografii 3D – lekarz widzi kość z każdej strony zanim wykona pierwsze nacięcie
- Stałe uzupełnienie od razu – korona tymczasowa na czas osseointegacji
Odbudowa zęba na implancie – czym jest i kiedy warto ją rozważyć
Odbudowa zęba na implancie to dziś złoty standard przy utracie pojedynczego zęba lub kilku zębów – niezależnie od przyczyny: próchnicy, urazu, złamania korzenia czy ekstrakcji planowej. Tytanowy implant wszczepiany w kość szczęki lub żuchwy przejmuje funkcję naturalnego korzenia, a zamocowana na nim korona cyrkonowa – funkcję i estetykę korony zęba.
W odróżnieniu od tradycyjnego mostu protetycznego, odbudowa zęba na implancie nie wymaga szlifowania ani obciążania zębów sąsiednich. Implant stymuluje kość, spowalniając jej zanik, który nieuchronnie postępuje przy nieleczonych lukach.
W OrtoRodzina planujemy pełny proces odbudowy od pierwszej konsultacji – łącznie z tomografią CBCT 3D, oceną objętości kości i kwalifikacją do ewentualnej augmentacji, wszczepienia implantu z szablonem chirurgicznym i finalną koroną cyrkonową wykonywaną metodą CAD/CAM.
- Stymuluje kość jak naturalny korzeń – zapobiega zanikowi po utracie zęba
- Cyfrowe planowanie – CBCT 3D, szablon chirurgiczny, skaner intraoral
- Korona tymczasowa na implancie podczas osseointegacji – estetyka przez cały czas leczenia
- Kompleksowa ścieżka leczenia: od konsultacji i diagnostyki do gotowego uzupełnienia
Implant, most protetyczny czy korona na kikucie – co wybrać przy utracie zęba?
Utrata zęba to sytuacja, w której lekarz najczęściej rozważa trzy możliwe rozwiązania. Każde ma swoje wskazania, zalety i ograniczenia.
Implant zębowy to rozwiązanie niezależne – tytanowa śruba w kości zastępuje korzeń, a cyrzonowa korona na niej – naturalny ząb. Nie angażuje żadnego z sąsiednich zębów, stymuluje kość wokół siebie i działa przez 20 lub więcej lat. Najlepsza opcja, gdy sąsiednie zęby są zdrowe lub mają jedynie małe wypełnienia.
Most protetyczny tradycyjny wymaga zeszlifowania obu zębów sąsiadujących z luką i pokrycia ich koronami – nieodwracalna ingerencja w zdrowe tkanki. Tańszy w pierwszym etapie, ale nie zatrzymuje zaniku kości pod przęsłem. Sensowny, gdy sąsiednie zęby już wymagają koron (po leczeniu kanałowym, z dużymi ubytkami).
Korona na kikucie – gdy ząb jest mocno zniszczony, ale korzeń jest w dobrej kondycji i rokuje stabilność. Protetyk wstawia wkład koronowo-korzeniowy i nakłada koronę cyrkonową na zachowany korzeń. Nie wymaga implantacji, ale możliwa tylko gdy kikut spełnia kryteria kliniczne.
- Implant – niezależny, bez ingerencji w sąsiednie zęby, zatrzymuje zanik kości
- Most tradycyjny – wymaga szlifowania sąsiadów, nie odbudowuje kości pod przęsłem
- Korona na kikucie – tylko gdy korzeń zęba spełnia kryteria kliniczne
Co wchodzi w skład pełnej odbudowy zęba na implancie?
Pełna odbudowa zęba na implancie to kilkuetapowy proces obejmujący diagnostykę, etap chirurgiczny i protetyczny. W OrtoRodzina każdy z tych etapów planujemy i realizujemy pod jednym dachem.
Etap diagnostyczny – konsultacja, tomografia CBCT 3D (objętość kości, lokalizacja nerwów i zatok), plan leczenia. Przy niewystarczającej kości – kwalifikacja do augmentacji lub podniesienia dna zatoki.
Etap chirurgiczny – wszczepienie tytanowego implantu z użyciem cyfrowego szablonu chirurgicznego. Wszczepienie trwa ok. 30–60 minut w znieczuleniu miejscowym. Następnie osseointegacja – 3–6 miesięcy, podczas których implant integruje się z kością. Opcjonalnie noszona jest korona tymczasowa.
Etap protetyczny – cyfrowy odcisk intraoral, laboratoryjne wykonanie korony cyrkonowej metodą CAD/CAM i jej osadzenie na implancie przez łącznik Ti-Base. Cały etap protetyczny zajmuje 3–5 tygodni od potwierdzenia osseointegacji.
- Diagnostyka przed zabiegiem – lekarz widzi kość z każdej strony zanim wykona pierwsze nacięcie
- Przez cały czas gojenia możesz nosić tymczasową koronę – nikt nie zauważy, że brakuje Ci zęba
- Finalna cyrkonowa korona wygląda jak własny ząb – dobrana kolorystycznie do sąsiednich
Kiedy odbudowa zęba na implancie jest wskazana?
Implant sprawdza się jako metoda odbudowy w wielu różnych sytuacjach klinicznych. Oto najczęstsze przypadki, w których lekarz w OrtoRodzina rekomenduje ten kierunek leczenia.
-
Brak pojedynczego zęba
Jeden brakujący ząb – wskutek ekstrakcji, urazu lub próchnicy – to klasyczne wskazanie do implantu. Jeden wszczep + korona cyrkonowa odbudowuje ząb bez angażowania sąsiednich.
-
Złamanie zęba lub korzenia
Gdy ząb złamał się poniżej dziąsła lub korzeń po urazie nie rokuje zachowania – ekstrakcja i implantacja to najlepsza droga do pełnej odbudowy funkcji i estetyki.
-
Rozległe zniszczenie zęba przez próchnicę
Gdy próchnica korzeniowa lub ubytek rozległy na tyle, że korzeń nie spełnia warunków klinicznych dla korony na kikucie – implant zastępuje cały ząb od korzenia.
-
Luka po dawnej ekstrakcji
Brak zęba od miesięcy lub lat jest wskazaniem do implantu – pod warunkiem zachowania wystarczającej objętości kości. Przy długo trwających lukach wymagana jest ocena CBCT i często augmentacja.
-
Utrata zęba przedniego – wymogi estetyczne
Siekacze i kły są widoczne przy każdym uśmiechu. Implant z koroną cyrkonową dopasowaną kolorystycznie do sąsiednich zębów zapewnia estetykę nieodróżnialną od naturalnych zębów.
-
Chęć rezygnacji z protezy ruchomej
Pacjenci noszący protezę częściową na klamrach, którzy szukają stałego rozwiązania – implanty z koronami lub mostem na implantach eliminują potrzebę noszenia ruchomej protezy.
-
Brak zębów bocznych – trzonowce i przedtrzonowce
Utrata zębów żucia w bocznych odcinkach łuku pogarsza funkcję żucia i przyspiesza przeciążanie pozostałych zębów. Implant przywraca równomierne obciążenie łuku.
Odbudowa zęba na implancie – OrtoRodzina Łódź
Przyjmujemy w OrtoRodzina – ul. Maćka z Bogdańca 16C, 92-434 Łódź (Widzew). Diagnostyka CBCT 3D, implantacja z szablonem chirurgicznym i korona cyrkonowa CAD/CAM – kompleksowa odbudowa zęba od A do Z. Ceny orientacyjne – ostateczna wycena po konsultacji.
Odbudowa zęba na implancie krok po kroku
Pełna odbudowa – od pierwszej konsultacji do gotowej korony cyrkonowej – trwa 6–10 miesięcy. Oto jak wygląda każdy etap w OrtoRodzina Łódź.
-
1. Konsultacja i tomografia CBCT 3D
Na pierwszej wizycie oceniamy stan uzębienia, tkanek miękkich i kości w miejscu brakującego zęba. Wykonujemy tomografię CBCT 3D – trójwymiarowy obraz szczęki lub żuchwy z pomiarem objętości kości, lokalizacją nerwów i zatok szczękowych. Wynik CBCT decyduje, czy możliwe jest wszczepienie implantu od razu, czy wymagana jest wcześniejsza augmentacja.
Tomografia CBCT do planowania implantów -
2. Augmentacja kości (jeśli wymagana)
Przy niewystarczającej objętości kości – np. po wieloletniej luce lub ekstrakcji z powikłaniami – przeprowadzamy augmentację (uzupełnienie ubytku kostnego materiałem autogennym lub kościozastępczym) lub podniesienie dna zatoki szczękowej przy brakach górnych trzonowców. Etap gojenia trwa 4–6 miesięcy.
Regeneracja kości przed implantacją -
3. Wszczepienie implantu z szablonem chirurgicznym
Implant tytanowy wszczepiany jest z zastosowaniem cyfrowego szablonu chirurgicznego – zaprojektowanego na podstawie CBCT, gwarantującego precyzję pozycji, kąta i głębokości zgodnych z planem protetycznym. Zabieg trwa ok. 30–60 minut w znieczuleniu miejscowym. Opcjonalnie wykonywana jest korona tymczasowa zapewniająca estetykę na czas gojenia.
Wszczepienie implantu zębowego – etapy -
4. Osseointegacja – 3–6 miesięcy
Implant integruje się z kością przez 3–6 miesięcy. W tym czasie pacjent może nosić tymczasowe uzupełnienie estetyczne (korona akrylowa lub kompozytowa) – szczególnie ważne przy zębach widocznych w uśmiechu. Po upływie okresu osseointegacji wykonujemy zdjęcie RTG kontrolne potwierdzające stabilność implantu.
-
5. Etap protetyczny – cyrkonowa korona na Ti-Base
Po potwierdzeniu osseointegacji odsłaniamy implant i zakładamy śrubę gojącą (1–2 tygodnie formowania tkanek miękkich). Następnie cyfrowy skaner intraoral pobiera odcisk łuku – bez mas wyciskowych. Laboratorium CAD/CAM frezuje koronę cyrkonową z bloku ZrO₂ i montuje ją na Ti-Base. Po 2–3 tygodniach korona jest osadzana w klinice, lekarz sprawdza okluzję i szczelność marginesów.
Korona cyrkonowa na implancie – etap protetyczny
Dlaczego implant to najlepszy sposób odbudowy utraconego zęba?
Implant zębowy to jedyna metoda odbudowy, która zastępuje ząb w całości – zarówno korzeń, jak i koronę. Oto konkretne powody, dla których jest to dziś preferowane rozwiązanie stomatologiczne.
Zastępuje korzeń i zatrzymuje zanik kości
Implanty tytanowe stymulują kość wokół siebie – podobnie jak naturalne korzenie. Nieleczona luka powoduje stopniowy zanik kości i zmiany w ustawieniu sąsiednich zębów, których implant skutecznie zapobiega.
Bez ingerencji w zdrowe zęby sąsiednie
Most tradycyjny wymaga zeszlifowania zębów obok luki. Implant jest całkowicie niezależny – nie wymaga modyfikacji żadnego z sąsiednich zębów, zachowując ich naturalną strukturę w nienaruszonym stanie.
Trwałość 20+ lat przy właściwej higienie
Implant tytanowy zintegrowany z kością jest trwały przez dekady. Cyrzonowa korona na Ti-Base nie próchnieje, nie przebarwia się i jest odporna na ścieranie – przy regularnych kontrolach służy 20 i więcej lat.
Estetyka nieodróżnialna od naturalnego zęba
Cyrkon dobierany indywidualnie w kluczu Vita – kolor, przezierność i morfologia powierzchni dopasowane do sąsiednich zębów. Korona cyrkonowa na Ti-Base eliminuje problem prześwitywania metalu przez dziąsło.
Cyfrowe planowanie – precyzja na każdym etapie
CBCT 3D, szablon chirurgiczny CAD/CAM, cyfrowy skaner intraoral – każdy etap planowany i realizowany cyfrowo. Oznacza to krótszy zabieg, mniejszą inwazyjność i przewidywalny wynik estetyczny.
Stałe uzupełnienie – nie protezy ruchome
Implant z koroną jest trwale osadzony – działa jak naturalny ząb przez całą dobę, bez konieczności wyjmowania, mocowania preparatami czy ograniczeń w jedzeniu.
Ile kosztuje odbudowa zęba na implancie w Łodzi?
Koszt pełnej odbudowy jednego zęba na implancie w OrtoRodzina składa się z kilku elementów, wycenianych na podstawie indywidualnego planu leczenia.
Implantacja z szablonem chirurgicznym: od 2 900 zł + od 500 zł (szablon) – wszczepienie tytanowego implantu z cyfrowym szablonem precyzyjnie planowanym na CBCT.
Korona cyrkonowa na Ti-Base: od 3 000 zł – etap protetyczny, obejmujący cyfrowy odcisk intraoral, laboratoryjne wykonanie korony metodą CAD/CAM i jej kliniczne osadzenie.
Łącznie jeden ząb na implancie: orientacyjnie od 5 900 zł. Przy konieczności augmentacji kości koszt wzrasta o 3 000–7 000 zł (+ materiał 500–1 500 zł). Ostateczna wycena zawsze odbywa się po konsultacji i analizie CBCT – zależy od stanu kości, wskazań do augmentacji i wybranego materiału korony. Ceny orientacyjne – ostateczna wycena po badaniu.
- Szczegółową wycenę całości – od implantu po koronę – otrzymujesz już na pierwszej konsultacji po analizie CBCT
- Augmentacja kości dostępna w tej samej klinice – nie musisz szukać kolejnego specjalisty
- Kompleksowe leczenie od A do Z – jedno miejsce, jeden plan, jeden opiekun przez cały czas terapii
Powiązane etapy i usługi implantologiczne
Odbudowa zęba na implancie realizowana jest w kilku etapach – poniżej wszystkie powiązane usługi dostępne w OrtoRodzina.
Implanty zębowe
Wszczepienie tytanowego implantu z szablonem chirurgicznym – chirurgiczny etap odbudowy zęba. Planowanie CBCT 3D, osseointegacja 3–6 miesięcy.
Dowiedz się więcej
Korona na implancie
Cyrkonowe uzupełnienie protetyczne osadzane na implancie po osseointegacji – Ti-Base, cyfrowy odcisk intraoral, CAD/CAM.
Dowiedz się więcej
Most na implantach
Kilka brakujących sąsiadujących zębów? Most cyrkonowy lub akrylowy na 2–3 implantach zamiast implantu pod każde miejsce luki.
Dowiedz się więcej
Regeneracja kości pod implanty
Augmentacja i kierowana regeneracja kości przy niewystarczającej objętości – etap poprzedzający wszczepienie implantu przy długoletnich lukach.
Dowiedz się więcej
Tomografia CBCT do implantów
Trójwymiarowe planowanie implantacji – analiza kości, lokalizacja nerwów i zatok, projektowanie szablonu chirurgicznego.
Dowiedz się więcej
Higienizacja zębów i implantów
Regularna higienizacja co 6 miesięcy – kluczowa dla długowieczności implantu. Kontrola stanu tkanek przyzębia wokół implantu, skaling i piaskowanie.
Dowiedz się więcejPacjenci o odbudowie zęba na implancie w OrtoRodzina
Najczęstsze pytania o odbudowę zęba na implancie
Odpowiedzi na pytania pacjentów planujących kompleksową odbudowę zęba na implancie w OrtoRodzina Łódź.
Pełna odbudowa jednego zęba na implancie: od ok. 5 900 zł (implantacja od 2 900 zł + szablon od 500 zł + korona cyrkonowa od 3 000 zł). Przy konieczności augmentacji kości – koszt wzrasta o 3 000–7 000 zł i materiał. Ewentualna korona tymczasowa noszona podczas osseointegacji: od 1 600 zł. Ostateczna wycena po konsultacji i analizie CBCT.
Bez augmentacji: 6–8 miesięcy – wszczepienie implantu + osseointegacja (3–6 miesięcy) + etap protetyczny (3–5 tygodni). Przy konieczności augmentacji kości: 10–14 miesięcy (dodatkowe 4–6 miesięcy gojenia tkanek po augmentacji). W trakcie całego leczenia pacjent może nosić tymczasowe uzupełnienie estetyczne.
W wielu przypadkach tak – implantacja natychmiastowa po ekstrakcji jest możliwa, gdy zębodół jest wolny od zakażenia, a kość ma wystarczającą objętość i stabilność. Ostateczna decyzja opiera się na wynikach CBCT i ocenie tkanek w trakcie ekstrakcji. Finalna korona cyrkonowa osadzana jest mimo to dopiero po osseointegacji (3–6 miesięcy po wszczepieniu).
W większości przypadków tak, ale wymagane jest spełnienie kilku warunków: wystarczająca objętość i jakość kości, brak aktywnych zakażeń przyzębia, ogólny stan zdrowia umożliwiający gojenie. Względne przeciwwskazania to nieleczony cukrzyca, bisfosfoniany, aktywna chemioterapia lub nieleczony bruksizm. Każdy przypadek oceniamy indywidualnie – najlepiej umówić się na konsultację z CBCT.
Przy zdrowych lub mało zniszczonych zębach sąsiednich – implant jest zdecydowanie lepszym wyborem: nie wymaga szlifowania sąsiednich zębów, stymuluje kość i jest trwalszy długoterminowo. Most protetyczny jest uzasadniony, gdy sąsiednie zęby już wymagają pokrycia koronami (po leczeniu kanałowym, z rozległymi ubytkami) lub gdy implantacja jest przeciwwskazana. Ocena każdego przypadku odbywa się na konsultacji.
Implant z koroną wymaga takiej samej higieny jak naturalne zęby – a nawet staranniejszej przy strefie przydziąsłowej. Niezbędne: szczoteczka elektryczna lub soniczna rano i wieczorem, szczoteczka interdentalyczna lub irygator wokół korony na implancie, kontrola z higienizacją co 6 miesięcy. Zaniedbanie higieny może prowadzić do periimplantitis – stanu zapalnego tkanek wokół implantu.
Odbudowa zęba na implancie – od CBCT do cyrkonowej korony pod jednym dachem
Przyjmujemy w OrtoRodzina – Nowoczesne Centrum Ortodoncji, ul. Maćka z Bogdańca 16C, 92-434 Łódź (Widzew). Kompleksowa odbudowa zęba na implancie: diagnostyka CBCT, szablon chirurgiczny, osseointegacja i cyrkonowa korona CAD/CAM – wszystkie etapy w naszej klinice. Ceny orientacyjne — ostateczna wycena po konsultacji.
Ortodoncja
Umów konsultację ortodontyczną w Łodzi
Podczas konsultacji ortodontycznej w naszej klinice przy ul. Maćka z Bogdańca 16C w Łodzi:
- ocenimy wadę zgryzu i wykonamy diagnostykę
- omówimy dostępne metody leczenia
- przedstawimy orientacyjny koszt terapii
- zaplanujemy kolejne etapy leczenia
Jeśli interesują Cię aparaty ortodontyczne, nakładki ortodontyczne lub chcesz poznać orientacyjny koszt leczenia — zostaw dane w formularzu lub zadzwoń do nas bezpośrednio.
Masz pytanie o leczenie ortodontyczne? Nasz zespół pomoże dobrać najlepszą metodę dopasowaną do Twojej wady zgryzu.
+48 507 090 990Pon. – Pt. 9:00–20:00
- doświadczeni ortodonci
- nowoczesna diagnostyka 3D
- leczenie dzieci i dorosłych
- indywidualny plan leczenia
- Łódź – Widzew · Maćka 16C
Zostaw dane — oddzwonimy jeszcze dziś.
Oddzwaniamy w godzinach pracy kliniki — zwykle jeszcze tego samego dnia.
-
Adres
ul. Maćka z Bogdańca 16C
92-434 Łódź, Widzew - Telefon +48 507 090 990
-
Godziny otwarcia
Pon. – Pt.: 9:00 – 20:00
Sob. – Nd.: Zamknięte
