Byłam u dr Renaty Golińskiej na konsultacji w ramach drugiej opinii przed założeniem aparatu stałego i jestem pod dużym wrażeniem wizyty.
Badanie zostało przeprowadzone bardzo dokładnie, również manualnie – Pani Doktor zbadała wszystkie stawy twarzoczaszki, co wcześniej nie było tak szczegółowo analizowane. Otrzymałam jasne wyjaśnienie, dlaczego proponowane jest konkretne leczenie i z czego ono wynika. Wszystko zostało omówione spokojnie i rzeczowo.
Pani Doktor wzbudza duże zaufanie, widać ogromną wiedzę i doświadczenie. Czułam się zaopiekowana i potraktowana indywidualnie.
Na plus także organizacja – dostępny parking dla pacjentów, przyjazny gabinet i komfortowa poczekalnia.
To była bardzo wartościowa konsultacja.
Leczenie bruksizmu w Łodzi – szyny, Modjaw, fizjoterapia SSŻ
Zgrzytasz zębami w nocy? Boli Cię staw skroniowo-żuchwowy, masz napięciowe bóle głowy lub słyszysz trzaski przy otwieraniu ust? Bruksizm i dysfunkcja SSŻ to schorzenia, które nieleczone prowadzą do starcia zębów, przewlekłego bólu i kosztownej odbudowy protetycznej. W OrtoRodzina Łódź Widzew proponujemy kompleksowe leczenie bruksizmu — od precyzyjnej diagnostyki Modjaw po dopasowaną szynę i fizjoterapię. Umów wizytę i zatrzymaj destrukcję przy źródle.
- Lekarz mierzy napięcie Twoich mięśni żucia zamiast zgadywać – szyna dobrana na podstawie danych Modjaw, nie intuicji klinicznej
- Trzy rodzaje szyn stawowych – każda dobierana do Twojego stopnia dysfunkcji; nie dostajesz szablonowej szyny przepisywanej wszystkim
- Fizjoterapia SSŻ w tej samej klinice – ból mięśni żucia i zablokowany staw leczone bez szukania osobnego gabinetu
- Leczenie bruksizmu i dysfunkcji SSŻ w jednym miejscu – ortodonta, protetyk i fizjoterapeuta w jednym planie, bez odsyłania
- Jeśli zęby zdążyły się zetrzeć – odbudowę i korekcję zgryzu zaplanujemy w tej samej klinice, bez szukania kolejnego specjalisty
Czym jest bruksizm i dlaczego wymaga leczenia?
Bruksizm to nawykowe, mimowolne zaciskanie lub zgrzytanie zębami — najczęściej w nocy, poza świadomą kontrolą. Szacuje się, że dotyka od 8 do 31% dorosłych w różnym stopniu nasilenia. Problem w tym, że większość pacjentów przez lata nie zdaje sobie sprawy z jego istnienia — dopóki nie pojawią się widoczne objawy: skrócone zęby, bóle mięśni żucia, poranne bóle głowy, trzaskanie stawów lub ból przy żuciu.
Bruksizm nie jest wyłącznie problemem stomatologicznym. Jego przyczyny są wieloczynnikowe: stres psychospołeczny, zaburzenia snu, wady zgryzu — a niekiedy nieprawidłowości w pracy układu nerwowego. Właśnie dlatego skuteczne leczenie wymaga podejścia interdyscyplinarnego — oceny okluzji, funkcji stawów skroniowo-żuchwowych (SSŻ) i napięcia mięśniowego łącznie, a nie każdego z tych elementów osobno.
W OrtoRodzina punktem wyjścia jest diagnostyka Modjaw — cyfrowe badanie elektromiograficzne i kinezjograficzne, które obiektywnie mierzy napięcia i asymetrie mięśniowe, zanim podejmiemy decyzję o wyborze szyny. Dobór metody leczenia zawsze wynika z danych, nie z rutyny. Pełen opis wszystkich dostępnych zębów i stomatologicznych metod leczenia znajdziesz w sekcji badanie Modjaw SSŻ. Jeśli interesuje Cię kompleksowe leczenie bólu stawowego, odwiedź stronę leczenia bólu SSŻ w OrtoRodzina.
- Bruksizm dotyka 8–31% dorosłych – często nierozpoznany przez lata
- Skutki: starcie zębów, bóle SSŻ, poranne bóle głowy, trzaskanie stawów
- Przyczyny wieloczynnikowe – stres, wady zgryzu, zaburzenia snu
- Skuteczne leczenie wymaga oceny okluzji, stawów i mięśni łącznie – nie wyłącznie szyny
Diagnostyka bruksizmu i SSŻ – Modjaw i ocena kliniczna jako punkt wyjścia
Zanim dobierzemy metodę leczenia, chcemy wiedzieć dokładnie, z czym mamy do czynienia. Rutynowe wypisanie szyny relaksacyjnej bez diagnostyki to leczenie objawowe — może przynieść chwilową ulgę, ale nie eliminuje przyczyny, przez co objawy wracają po odstawieniu szyny.
W OrtoRodzina diagnostykę bruksizmu i dysfunkcji SSŻ prowadzimy na dwóch poziomach: klinicznym — wywiad, palpacja mięśni i stawów, ocena starcia zębów, zakres i tor ruchomości żuchwy — oraz instrumentalnym: badanie Modjaw (elektromiografia EMG i kinezjografia), a przy podejrzeniu zmian kostnych — tomografia CBCT stawów SSŻ.
Badanie Modjaw mierzy aktywność elektryczną czterech par mięśni żucia w spoczynku i przy zwarciu, rejestruje tor ruchu żuchwy i oblicza asymetrię napięciową. Dane te decydują o tym, czy dla danego pacjenta właściwa będzie szyna relaksacyjna (komponent mięśniowy), okluzyjna (asymetria i korekta zwarciowa) czy Mago (komponent stawowy z przemieszczeniem krążka). Szczegóły diagnostyki opisujemy na stronie diagnostyka bruksizmu OrtoRodzina.
- Lekarz widzi obiektywne dane o napięciu Twoich mięśni żucia – dobiera szynę na wynikach badania, nie na odczuciu klinicznym
- Urządzenie rejestruje tor ruchu Twojej żuchwy – odchylenia od normy wskazują dokładnie, który staw wymaga leczenia i jakiego rodzaju szyny
- CBCT stawów SSŻ przy podejrzeniu zmian kostnych – lekarz widzi struktury stawu, których nie ma na zwykłym RTG
- Wynik diagnostyki decyduje o wyborze szyny – nie rutyna, lecz dane
Metody leczenia bruksizmu i dysfunkcji SSŻ
Każda metoda adresuje inny poziom dysfunkcji – dobieramy ją indywidualnie na podstawie diagnostyki klinicznej i badania Modjaw.
Diagnostyka bruksizmu i SSŻ
Modjaw EMG, kinezjografia, ocena kliniczna – punkt wyjścia przed doborem każdej metody leczenia dysfunkcji stawu i mięśni żucia.
Dowiedz się więcej
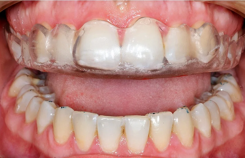
Szyna relaksacyjna
Pierwsza linia leczenia bruksizmu – ochrona zębów przed ścieraniem i redukcja napięcia mięśniowego nocą.
Dowiedz się więcej
Szyna okluzyjna
Precyzyjna kalibracja zwarcia do terapeutycznej pozycji mięśniowej wyznaczonej przez Modjaw – dla zaawansowanych dysfunkcji SSŻ.
Dowiedz się więcej
Szyna Mago
Szyna anterorepozycyjna przy przemieszczeniu krążka stawowego, ostrym bólu i ograniczonej ruchomości żuchwy.
Dowiedz się więcej
Fizjoterapia SSŻ
Mobilizacje stawu, terapia trigger points, techniki mięśniowo-powięziowe – uzupełnienie szyny o pracę z tkankami miękkimi.
Dowiedz się więcej
Leczenie bólu SSŻ
Kompleksowy plan terapeutyczny przy przewlekłym bólu stawu skroniowo-żuchwowego – diagnoza, szyna, fizjoterapia, koordynacja leczenia.
Dowiedz się więcejFizjoterapia SSŻ – uzupełnienie szyny o pracę z tkankami miękkimi
Szyna stawowa chroni zęby i prowadzi żuchwę do lepszej pozycji — ale nie rozluźni napiętych mięśni żucia, nie zmobilizuje zablokowanego stawu ani nie zneutralizuje punktów spustowych (trigger points) w żwaczach i mięśniach skroniowych. To jest praca fizjoterapeuty.
Fizjoterapia SSŻ obejmuje manualne mobilizacje stawu, rozluźnianie mięśni metodami terapii mięśniowo-powięziowej, terapię trigger points i ćwiczenia reedukacyjne żuchwy. Seria 5–8 sesji w połączeniu z noszeniem szyny okluzyjnej lub Mago daje znacznie trwalsze efekty niż każda metoda stosowana osobno.
W OrtoRodzina współpracujemy z fizjoterapeutą specjalizującym się w dysfunkcjach SSŻ. Leczenie koordynujemy — wyniki badania Modjaw są przekazywane fizjoterapeucie, a postęp oceniamy kontrolnym badaniem EMG po serii sesji. Szczegóły metody i wskazania opisane są na stronie fizjoterapia stawu skroniowo-żuchwowego Łódź.
- Mobilizacje stawu SSŻ – przywracanie prawidłowego zakresu ruchomości żuchwy
- Terapia trigger points mięśni żucia – likwidacja bolesnych punktów spustowych
- Fizjoterapia manualna i powięziowa – praca z tkankami, których szyna nie adresuje
- Koordynacja z szyną i Modjaw – jedna klinika, spójny protokół leczenia
Objawy bruksizmu i dysfunkcji SSŻ – kiedy się zgłosić?
Bruksizm przez lata może być bezobjawowy. Poniższe sygnały to wskazania do konsultacji — im wcześniejsza diagnostyka, tym mniej rozległe leczenie. Nie czekaj, aż zęby skrócą się o połowę.
Starcie i skrócenie zębów
Spłaszczone, skrócone zęby lub ubytki klinowe szyjek zębowych — widoczny efekt długotrwałego ścierania twardych tkanek zęba.
Poranne bóle głowy i karku
Bóle głowy okolicy skroniowej, potylicznej i szyi po przebudzeniu — klasyczny objaw nocnego bruksizmu i przeciążenia mięśni żucia.
Trzaskanie i klikanie stawu SSŻ
Słyszalne lub wyczuwalne kliknięcia lub trzaski przy otwieraniu ust — objaw przemieszczenia krążka stawowego wymagający diagnostyki stawowej.
Szyna Mago – repozycja krążka →Ograniczone otwieranie ust
Trudność z szerokim otwarciem ust, blokowanie lub ból przy ziewaniu i jedzeniu twardych pokarmów — sygnał zaawansowanej dysfunkcji stawowej.
Napięcie i ból mięśni żucia
Bolesna, twarda tkliwość żwaczy i mięśni skroniowych przy palpacji, szczęki czujące się jak zaciśnięte — objaw dominanty mięśniowej bruksizmu.
Szyna relaksacyjna →Nadwrażliwość termiczna zębów
Ból przy zimnych lub ciepłych napojach bez wyraźnej próchnicy — często efekt nadmiernego starcia szkliwa odsłaniającego zębinę przy bruksizmie.
Ból SSŻ, trzaski, napięcie — czas na diagnostykę, nie zgadywanie.
Przyjmujemy przy ul. Maćka z Bogdańca 16C, 92-434 Łódź (Widzew). Diagnostyka Modjaw, dobór szyny i fizjoterapia SSŻ – kompleksowe leczenie bruksizmu w jednym miejscu.
Pacjenci OrtoRodzina o leczeniu bruksizmu i dysfunkcji SSŻ
Leczenie bruksizmu – najczęściej zadawane pytania
Nocny bruksizm najczęściej wykrywany jest przez lekarza dentystę podczas kontroli — widoczne starcie zębów, spłaszczone guzki, odłamania szkliwa lub pęknięcia pionowe zębów to klasyczne objawy. Pacjent może też zauważyć: poranne bóle głowy lub szyi, tkliwość mięśni żucia przy dotykaniu, zaciśnięte zęby po przebudzeniu, uczucie zmęczenia szczęk rano. Badanie Modjaw — elektromiografia mięśni żucia — może potwierdzić nadaktywność mięśniową charakterystyczną dla bruksizmu. Szczegóły diagnostyki na stronie diagnostyka bruksizmu OrtoRodzina.
Szyna relaksacyjna chroni zęby przed dalszym ścieraniem i może zmniejszyć napięcie mięśniowe — ale nie eliminuje przyczyny bruksizmu. Po jej odstawieniu zgrzytanie powraca, bo nawyk nocny utrzymuje się. Trwałe leczenie bruksizmu wymaga jednocześnie eliminacji czynników wyzwalających (stres, higiena snu, wady zgryzu jako czynnik okluzyjny) i stabilizacji funkcji SSŻ szyną okluzyjną lub fizjoterapią. Szyna relaksacyjna jest pierwszym i najważniejszym krokiem ochronnym — ale rzadko wystarczającym jako jedyna metoda. Szczegóły na stronie szyna relaksacyjna OrtoRodzina.
Trzy rodzaje szyn działają na różnych poziomach dysfunkcji: Szyna relaksacyjna — ochrona zębów i redukcja mięśniowa w nawykowej pozycji. Pierwsza linia leczenia. Szyna okluzyjna — precyzyjna kalibracja zwarcia do optymalnej pozycji mięśniowej wyznaczonej przez Modjaw. Wskazana przy asymetrii napięć, braku efektu relaksacyjnej lub jako etap przed rekonstrukcją protetyczną. Szyna Mago — anterorepozycyjna szyna stawowa. Prowadzi żuchwę do pozycji repozycji krążka stawowego. Wskazana przy przemieszczeniu krążka, trzaskaniu stawu, ostrym bólu stawowym lub ograniczeniu ruchomości. Dobór szyny wynika z diagnostyki klinicznej i Modjaw — nie ze schematu.
Czas leczenia zależy od stopnia nasilenia i obecności komponentu stawowego. Przy dominancie mięśniowej (bruksizm bez dysfunkcji stawowej) szyna relaksacyjna i seria fizjoterapii mogą dać wyraźną ulgę po 6–12 tygodniach aktywnej terapii. Przy dysfunkcji stawowej z przemieszczeniem krążka lub koniecznością rekonstrukcji zwarcia — leczenie może trwać 6–18 miesięcy. Szyna stawowa po zakończeniu leczenia aktywnego często jest kontynuowana podtrzymująco — kilka razy w tygodniu — bezterminowo, szczególnie jeśli stres lub bruksizm nawraca.
Bruksizm nocny jest zwykle schorzeniem przewlekłym — większość pacjentów nie zostaje z niego całkowicie wyleczona, ale dzięki właściwemu leczeniu może kontrolować jego skutki i żyć bez bólu ani destrukcji uzębienia. Cel leczenia to: ochrona zębów przed dalszym ścieraniem, redukcja bólu mięśniowego i stawowego oraz normalizacja napięć mięśniowych na tyle, by nie powodowały powikłań. U części pacjentów — szczególnie gdy bruksizm silnie powiązany jest ze stresem — psychoterapia, biofeedback lub techniki relaksacji mogą znacząco zmniejszyć nasilenie zgrzytania.
Tak — i bardzo często jest. Mięśnie skroniowe (skroniowy przedni i tylny) są bezpośrednio zaangażowane w zgryzanie zębów. Przy nocnym bruksizmie pracują przez wiele godzin w nadmiernym napięciu — rano są przeciążone, co objawia się bólem głowy okolicy skroniowej, potylicznej i ciemieniowej. Dodatkowo nadaktywne mięśnie żucia mogą powodować promieniujące bóle szyi i karku. Badanie Modjaw potwierdza obiektywnie, czy bóle głowy mają podłoże mięśniowo-stawowe i w jakim stopniu napięcia żwaczy i mięśni skroniowych są podwyższone w porównaniu z normą.
Modjaw to system do cyfrowej elektromiografii (EMG) i kinezjografii stawów skroniowo-żuchwowych. EMG mierzy aktywność elektryczną mięśni żucia w spoczynku i przy zwarciu — wykrywa asymetrię i nadaktywność mięśniową niemożliwe do zmierzenia ręcznie. Kinezjografia rejestruje tor ruchu żuchwy — odchylenia od fizjologicznego wzorca wskazują na dysfunkcję stawową. Badanie Modjaw nie jest bezwzględnie konieczne przy prostej szynie relaksacyjnej dla ochrony zębów. Natomiast przy planowaniu szyny okluzyjnej, szyny Mago lub rekonstrukcji protetycznej z korekcją zwarcia jest standardowym punktem wyjścia — bez niego kalibracja szyny jest subiektywna. Więcej na stronie Modjaw – badanie stawów SSŻ w OrtoRodzina.
Koszt leczenia bruksizmu zależy od wybranej metody i zakresu diagnostyki. Orientacyjnie: szyna relaksacyjna to koszt od kilkuset do ponad tysiąca złotych; szyna okluzyjna planowana na podstawie Modjaw — wyższy koszt ze względu na diagnostykę instrumentalną i wizyty kalibracyjne; seria fizjoterapii SSŻ — koszt za sesję podobny do fizjoterapii ortopedycznej. Ostateczną wycenę podajemy po konsultacji i ocenie zakresu koniecznej diagnostyki. Warto pamiętać, że nieleczony bruksizm prowadzi do starcia zębów wymagającego kosztownej odbudowy protetycznej — koron, nakładek lub licówek na wielu zębach jednocześnie.
Zacznij leczenie bruksizmu w OrtoRodzina – diagnostyka, szyna, trwały efekt
Kompleksowe leczenie bruksizmu i dysfunkcji SSŻ w OrtoRodzina — od diagnostyki Modjaw przez dobór szyny po fizjoterapię i, w razie potrzeby, odbudowę protetyczną. Lek. dent. Ludmiła Rodziewicz oceni Twój przypadek i zaproponuje optymalny plan leczenia. Zapraszamy: ul. Maćka z Bogdańca 16C, 92-434 Łódź (Widzew).
Ortodoncja
Umów konsultację ortodontyczną w Łodzi
Podczas konsultacji ortodontycznej w naszej klinice przy ul. Maćka z Bogdańca 16C w Łodzi:
- ocenimy wadę zgryzu i wykonamy diagnostykę
- omówimy dostępne metody leczenia
- przedstawimy orientacyjny koszt terapii
- zaplanujemy kolejne etapy leczenia
Jeśli interesują Cię aparaty ortodontyczne, nakładki ortodontyczne lub chcesz poznać orientacyjny koszt leczenia — zostaw dane w formularzu lub zadzwoń do nas bezpośrednio.
Masz pytanie o leczenie ortodontyczne? Nasz zespół pomoże dobrać najlepszą metodę dopasowaną do Twojej wady zgryzu.
+48 507 090 990Pon. – Pt. 9:00–20:00
- doświadczeni ortodonci
- nowoczesna diagnostyka 3D
- leczenie dzieci i dorosłych
- indywidualny plan leczenia
- Łódź – Widzew · Maćka 16C
Zostaw dane — oddzwonimy jeszcze dziś.
Oddzwaniamy w godzinach pracy kliniki — zwykle jeszcze tego samego dnia.
-
Adres
ul. Maćka z Bogdańca 16C
92-434 Łódź, Widzew - Telefon +48 507 090 990
-
Godziny otwarcia
Pon. – Pt.: 9:00 – 20:00
Sob. – Nd.: Zamknięte
