Byłam u dr Renaty Golińskiej na konsultacji w ramach drugiej opinii przed założeniem aparatu stałego i jestem pod dużym wrażeniem wizyty.
Badanie zostało przeprowadzone bardzo dokładnie, również manualnie – Pani Doktor zbadała wszystkie stawy twarzoczaszki, co wcześniej nie było tak szczegółowo analizowane. Otrzymałam jasne wyjaśnienie, dlaczego proponowane jest konkretne leczenie i z czego ono wynika. Wszystko zostało omówione spokojnie i rzeczowo.
Pani Doktor wzbudza duże zaufanie, widać ogromną wiedzę i doświadczenie. Czułam się zaopiekowana i potraktowana indywidualnie.
Na plus także organizacja – dostępny parking dla pacjentów, przyjazny gabinet i komfortowa poczekalnia.
To była bardzo wartościowa konsultacja.
Jak rozpoznać wadę zgryzu – objawy, oznaki i kiedy iść do ortodonty
Wada zgryzu nie zawsze daje oczywiste sygnały. Zęby mogą wyglądać prosto, a mimo to powodować bóle głowy, ścieranie szkliwa lub trudności z żuciem. Sprawdź, jakie objawy warto skonsultować z ortodontą w Łodzi – i kiedy nie warto odkładać wizyty.
- Widoczne i ukryte objawy wad zgryzu – lista objawów, które warto sprawdzić
- Przewodnik po wszystkich typach wad: stłoczenie, przodozgryz, tylozgryz, diastema i inne
- Kiedy objaw to sygnał alarmowy – 6 sytuacji, w których nie warto czekać
- Jak wygląda diagnostyka ortodontyczna i co sprawdza lekarz podczas pierwszej wizyty
- Odpowiedzi na pytania: czy to wada zgryzu, czy coś innego?
Wada zgryzu – skąd wiedzieć, że ją masz?
Większość ludzi kojarzy wadę zgryzu z widocznym problemem – zębami krzywo ułożonymi albo wysuwającą się szczęką. Tymczasem wiele wad przebiega latami bez wyraźnych wizualnych sygnałów. Wady zgryzu mogą dawać objawy wtórne: bóle głowy, napięcie mięśni żuchwy, starcie szkliwa, przewlekłe zmęczenie twarzy lub trudności z wymową. Diagnoza wymaga badania klinicznego – ale sam pacjent może wiele zaobserwować wcześniej.
Na tej stronie zebraliśmy kompletną listę objawów – zarówno tych oczywistych, jak i tych, których zwykle nie łączymy ze zgryzem. Omówimy też, jak przebiega diagnostyka ortodontyczna i kiedy objawy powinny skłonić do umówienia wizyty. Jeśli szukasz informacji o tym, jak leczyć konkretną wadę, zajrzyj na naszą stronę poświęconą metodom leczenia.
- Krzywe lub zachodzące na siebie zęby widoczne w lusterku – jeden z najczęstszych sygnałów
- Szczęka lub żuchwa widocznie wysunięta lub cofnięta – wada szkieletowa w profilu twarzy
- Bóle głowy, klikanie żuchwy lub napięcie mięśni twarzy – ukryte objawy nieprawidłowego zgryzu
- Szybkie ścieranie zębów, próchnica wracająca w tych samych miejscach – sygnały warto sprawdzić
Jak wygląda prawidłowy zgryz? Punkt odniesienia przed oceną objawów
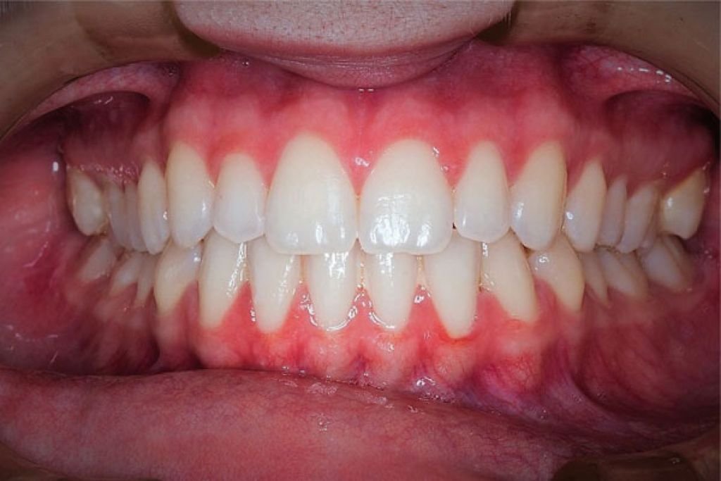
Zanim omówimy objawy wad zgryzu, warto wiedzieć, czym jest zgryz prawidłowy. W ortodoncji punktem odniesienia jest tak zwana klasa I Anglea: górne zęby boczne (pierwsze trzonowce górne) ustawiają się dokładnie między trzonowcem dolnym a zębem siódmym. Przy zamkniętych zębach górne siekacze minimalnie zachodzą na dolne – o kilka milimetrów w pionie, a ich krawędzie są wyrównane poziomo. Żadne zęby nie są skręcone ani przekrzywione.
W zdrowym zwarciu górne siekacze nakrywają dolne mniej więcej do jednej trzeciej ich wysokości. Linia pośrodkowa uzębienia górnego pokrywa się z dolną i z linią symetrii twarzy. Przy otwieraniu i zamykaniu ust żuchwa porusza się płynnie – bez przeskakiwania, klikania ani bocznego odchylenia.
Większość osób nie jest w stanie samodzielnie ocenić, czy ich klasa okluzji jest prawidłowa – to wymaga doświadczonego oka ortodonty i badania klinicznego. Natomiast szereg objawów wtórnych można zaobserwować samodzielnie. Właśnie o nich napisaliśmy poniżej.
Ważna zasada: brak widocznych objawów nie zawsze oznacza brak wady. Wiele nieprawidłowości szkieletowych jest niewidocznych w lusterku i staje się oczywistych dopiero na zdjęciu cefalometrycznym lub tomografii 3D. Dlatego pierwsze badanie ortodontyczne dziecka zalecane jest już około 7. roku życia – zanim ewentualna wada zdąży się pogłębić.
- Klasa I to punkt odniesienia relacji trzonowców – widoczna tylko dla ortodonty, nie dla pacjenta w lusterku
- Prawidłowe zwarcie: górne siekacze nakrywają dolne o ok. 1/3 ich wysokości, linie środkowe zbiegają się
- Płynne otwieranie żuchwy bez klikania i przeskakiwania – jeden z sygnałów prawidłowego stawu SSŻ
- Wady szkieletowe mogą być niewidoczne w lusterku – widoczne dopiero na telerentgenie lub CBCT 3D
Widoczne objawy wad zgryzu – co możesz zaobserwować sam
Część wad zgryzu daje wyraźne, widoczne sygnały. Poniżej zebraliśmy te, które pacjenci najczęściej zauważają sami – jeszcze przed wizytą u ortodonty.
Stłoczenie i krzywe zęby to najczęstszy powód wizyty u ortodonty. Stłoczenie zębów objawia się nakładaniem się sąsiednich zębów na siebie, ich skręceniem lub brakiem miejsca w łuku. Zęby rosną krzywo lub wyżej niż inne – bywa że jeden ząb wyrasta nad poziomem łuku, bo nie miał miejsca wejść w linię.
Szpary i luki w uzębieniu. Diastema – szpara między górnymi siekaczami – to najczęstszy rodzaj luki. Może być fizjologiczna u małych dzieci, ale u dorosłych wymaga oceny. Luki po wypadłych zębach mlecznych lub wyrwanych stałych też mogą powodować przesuwanie sąsiednich zębów.
Wysunięta szczęka lub żuchwa. Jeśli dolna szczęka wysuwa się do przodu – zęby dolne nagryzają na górne lub je przykrywają. To charakterystyczny obraz przodozgryzu. Przeciwnie – gdy górne zęby mocno zachodzą na dolne lub są silnie wysunięte do przodu, może to być tylozgryz klasy II.
Otwarta przestrzeń między zębami przy zamkniętej buzi. Gdy przednie zęby nie stykają się mimo zamkniętych zębów tylnych, mamy do czynienia ze zgryzem otwartym. Ten rodzaj wady często towarzyszy nawykowi ssania kciuka lub tyłkowaniu językiem.
Asymetria twarzy i żuchwy. Lekkie asymetrie twarzy są normą. Jednak gdy żuchwa wyraźnie odchyla się w bok przy otwieraniu ust lub jeden policzek jest zauważalnie bardziej cofnięty – może to sygnalizować zgryz krzyżowy.
- Nakładające się lub skręcone zęby – stłoczenie widoczne gołym okiem w lusterku
- Luki i szpary w uzębieniu – diastema lub braki po ekstrakcjach mlecznych bez retencji miejsca
- Wysunięta żuchwa lub cofnięta broda – objaw wad klasy II lub III widoczny w profilu twarzy
- Asymetria żuchwy przy otwieraniu ust – może wskazywać na zgryz krzyżowy jednostronny
Ukryte objawy wad zgryzu – kiedy boli coś innego, a winny jest zgryz
Nie wszystkie konsekwencje wad zgryzu są widoczne w lusterku. Wiele objawów jest tak odległych od jamy ustnej, że pacjenci latami szukają ich przyczyny u neurologa, fizjoterapeuty lub laryngologa – nie zdając sobie sprawy, że winowajcą jest nieprawidłowy zgryz.
Bóle głowy, karku i szyi. Mięśnie żucia są jednymi z najmocniejszych mięśni w ludzkim ciele. Gdy zgryz jest nieprawidłowy, stale pracują asymetrycznie lub pod nadmiernym napięciem. To napięcie promieniuje na mięśnie skroniowe, kark i barki – powodując bóle, które wyglądają jak migreny lub przeciążenie kręgosłupa szyjnego.
Klikanie i ból stawów skroniowo-żuchwowych (SSŻ). Stawy skroniowo-żuchwowe łączą żuchwę z czaszką – to te struktury, które bolą przy otwieraniu ust w przypadku bruksizmu lub wad zgryzu. Klikanie, przeskakiwanie lub blokowanie szczęki, ból przy żuciu lub ziewaniu – wszystkie te objawy warto skonsultować z ortodontą i w razie potrzeby z terapeutą SSŻ. Warto wiedzieć, że bruksizm (zaciskanie i zgrzytanie zębami) bardzo często współwystępuje z wadami zgryzu i nasila dolegliwości stawowe.
Szybkie ścieranie szkliwa. Prawidłowe zęby ścierają się minimalnie przez całe życie. Gdy zgryz jest nieprawidłowy, niektóre zęby przejmują na siebie zbyt duże obciążenie – i ich szkliwo zaczyna się ścierać szybciej niż powinno. Efektem jest skracanie koron, nadwrażliwość i ryzyko pęknięć.
Trudności z oddychaniem przez nos i chrapanie. Wąskie podniebienie lub cofnięta żuchwa zmniejszają przestrzeń dla języka i dróg oddechowych. U dzieci objawia się to oddychaniem przez usta, u dorosłych – chrapaniem lub nawet bezdechem sennym. To jeden z powodów, dla których ortodoncja dziecięca w odpowiednim momencie może dosłownie poprawić jakość snu.
Problemy z wymową. Seplenie, trudności z wymawianiem głosek s, z, cz – mogą mieć podłoże ortodontyczne. Zgryz otwarty lub zgryz krzyżowy zmieniają ułożenie języka podczas mowy.
- Chroniczne bóle głowy i karku – mogą mieć podłoże ortodontyczne, nie neurologiczne
- Klikanie lub ból przy otwieraniu ust – sygnał przeciążenia stawów skroniowo-żuchwowych
- Szybkie ścieranie szkliwa na tych samych zębach – objaw przeciążenia punktowego zgryzu
- Oddychanie przez usta, chrapanie – zbyt wąskie podniebienie lub cofnięta żuchwa ogranicza drogi oddechowe
Jak rozpoznać konkretną wadę zgryzu – charakterystyczne sygnały
Każda wada zgryzu ma swój zestaw typowych objawów. Poniższe opisy pomogą Ci wstępnie zorientować się, z jakim problemem możesz mieć do czynienia – zanim umówisz się na konsultację.
-
Stłoczenie zębów
Zęby nakładają się na siebie, są skręcone lub rosną w złym kierunku. Trudno je dokładnie wyczyścić – próchnica wraca w tych samych, trudno dostępnych miejscach.
-
Tylozgryz (klasa II)
Górne zęby mocno zachodzą na dolne lub są wysunięte do przodu. Broda może wyglądać na cofniętą. Przy uśmiechu górne siekacze są bardzo widoczne – bardziej niż dolne.
-
Przodozgryz (klasa III)
Dolne siekacze wysuwają się przed górne – przy zgryzaniu dolny łuk jest przed górnym. Profil twarzy może wyglądać na wysunięty w dolnej partii. Silna dziedziczność tej wady.
-
Diastema
Widoczna szpara między górnymi siekaczami. Może wynikać z przerosłego wędzidełka wargowego, braku zawiązka zęba lub nawyku ssania. U dzieci przed 10. rokiem życia bywa fizjologiczna.
-
Zgryz otwarty
Przy zamkniętych zębach tylnych przednie zęby nie stykają się – widać przerwę. Często towarzyszy temu seplenie lub trudność z gryzieniem kanapek. Nawyk ssania kciuka to częsta przyczyna.
-
Zgryz krzyżowy
Część górnych zębów stoi za dolnymi zamiast przed nimi. Przy poziomym – jeden policzek jest cofnięty, żuchwa odchyla się w bok. Może powodować asymetrię twarzy widoczną na zdjęciach.
-
Wada zgryzu u dziecka
Dziecko oddycha przez usta, śpi z otwartą buzą, sepleniło lub ssało kciuk po 4. roku życia. Wczesna utrata mleczaka bez utrzymania miejsca może prowadzić do stłoczenia zębów stałych.
-
Wada zgryzu u dorosłego
Zęby ścierają się szybciej niż wcześniej. Ból przy żuciu lub ziewaniu pojawił się po raz pierwszy. Nieleczona wada z dzieciństwa – objawy stały się bardziej uciążliwe po trzydziestce lub czterdziestce.
Dostrzegasz u siebie lub dziecka któryś z tych objawów? Warto to sprawdzić.
Konsultacja ortodontyczna w OrtoRodzina trwa ok. 30–40 minut. Ortodonta ocenia zgryz, wyjaśnia czy i jakiej wady dotyczy problem i omawia opcje leczenia. Bez presji, bez zobowiązania. Przyjmujemy przy ul. Maćka z Bogdańca 16C, 92-434 Łódź (Widzew). Ceny orientacyjne — ostateczna wycena po konsultacji z ortodontą.
6 sytuacji, w których nie warto odkładać wizyty u ortodonty
Niektóre objawy są sygnałem alarmowym – im szybciej zostaną ocenione przez ortodontę, tym więcej opcji leczenia pozostaje otwartych. Szczególnie u dzieci czas ma znaczenie.
Dziecko ma 7 lat i nie było jeszcze u ortodonty
Pierwsze badanie ortodontyczne zalecane jest ok. 7. roku życia – kiedy wyrzynają się pierwsze stałe trzonowce i siekacze. Lekarz oceni rozwój szczęk i zaplanuje ewentualną wczesną interwencję.
Wady zgryzu u dzieci →Ból przy żuciu, ziewaniu lub otwarciu ust
Ból stawów skroniowo-żuchwowych (SSŻ) jest często pierwszym objawem przeciążenia zgryzu. Warto sprawdzić, czy przyczyną jest wada okluzji – zanim problem stanie się przewlekły.
Dziecko oddycha przez usta lub śpi z otwartą buzią
Oddychanie przez usta zmienia ułożenie języka i szczęki – może pogłębiać istniejącą wadę lub wywołać nową. Im wcześniej sprawdzona przyczyna, tym większe szanse na korekcję bez operacji.
Zęby ścierają się szybciej niż wcześniej
Szybkie ścieranie szkliwa w konkretnych miejscach to sygnał, że zgryz nierównomiernie rozkłada siły żucia. Ignorowanie tego może prowadzić do utraty korony zęba i konieczności rekonstrukcji protetycznej.
Bóle głowy i karku bez innej przyczyny
Regularne bóle głowy, szczególnie po przebudzeniu lub po długim żuciu, mogą być skutkiem napięcia mięśni żucia i bruksizmu związanego z wadą zgryzu. Warto wykluczyć podłoże ortodontyczne.
Uśmiech, który nie podoba Ci się od lat
Estetyka to pełnoprawny powód do konsultacji ortodontycznej. Wada zgryzu wpływa na wygląd uśmiechu, profil twarzy i pewność siebie. Leczenie w każdym wieku jest możliwe.
Pierwsza wizyta ortodontyczna →Co dalej po rozpoznaniu objawów?
Rozpoznanie objawów to pierwszy krok. Kolejne to diagnostyka i wybór metody leczenia. Poniżej znajdziesz strony, które poprowadzą Cię przez ten proces.
Diagnostyka ortodontyczna
Skaner intraoral, zdjęcie panoramiczne, cefalometryczne i tomografia 3D – co sprawdzamy podczas diagnostyki i co wynika z każdego badania. Jak powstaje pisemny plan leczenia.
Dowiedz się więcej
Jak leczyć wady zgryzu
Przewodnik po metodach leczenia: aparaty stałe metalowe i ceramiczne, nakładki ortodontyczne, aparaty funkcjonalne dla dzieci. Etapy leczenia od konsultacji po retencję.
Dowiedz się więcej
Ortodoncja dziecięca w Łodzi
Leczenie wad zgryzu u dzieci od 7. roku życia. Aparaty funkcjonalne, ekspandery i płytki Schwarza – metody działające w oknie wzrostowym, gdy kości szczęki są jeszcze podatne na korekcję.
Dowiedz się więcej
Wady zgryzu u dorosłych
Dorośli stanowią ponad 30% pacjentów ortodontycznych. Wada z dzieciństwa nasila się po trzydziestce – leczenie jest możliwe w każdym wieku, a efekty trwałe dzięki retencji.
Dowiedz się więcej
Aparaty ortodontyczne w Łodzi
Przegląd wszystkich metod leczenia: metalowe, ceramiczne, samoligaturujące i nakładki. Dowćiedz się, która metoda jest skuteczna przy Twojej wadzie.
Dowiedz się więcej
Leczenie bruksizmu
Bruksizm bardzo często współwystępuje z wadami zgryzu. Szyna relaksacyjna łagodzi napięcie mięśni i chroni zęby – często jako uzupełnienie leczenia ortodontycznego.
Dowiedz się więcejPacjenci OrtoRodzina – o tym, jak trafili do ortodonty
Często zadawane pytania o rozpoznanie wady zgryzu
Zacznij od prostego testu przed lusterkiem: zamknij zęby naturalnie i sprawdź, czy górne siekacze lekko nakrywają dolne (o ok. 2–3 mm), linie środkowe uzębienia górnego i dolnego pokrywają się, a łuk jest w miarę symetryczny. Następnie otwieraj i zamykaj usta – żuchwa powinna poruszać się prosto, bez odchylania w bok. Jeśli widzisz wyraźne stłoczenie, szpary, asymetrię lub czujesz kliknięcia w stawie – to sygnał do konsultacji. Pamiętaj jednak, że wady szkieletowe i wiele nieprawidłowości okluzji jest niewidocznych w lusterku – ostateczną ocenę może wydać tylko ortodonta po badaniu klinicznym i zdjęciach.
Pierwsze badanie ortodontyczne zalecane jest ok. 7. roku życia. W tym wieku wyrzynają się pierwsze stałe trzonowce i siekacze, a ortodonta może ocenić kierunek rozwoju szczęk i wczesne sygnały wad. Nie oznacza to, że leczenie zaczyna się od razu – w wielu przypadkach lekarz mówi po prostu: obserwujemy i spotykamy się za rok. Jednak przy niektórych wadach – jak przodozgryz, zgryz krzyżowy czy zbyt wąskie podniebienie – wczesna interwencja (aparatem funkcjonalnym, ekspanderem) może skrócić lub całkowicie wyeliminować potrzebę aparatu stałego w późniejszym wieku.
Nie – wiele wad zgryzu u dorosłych przebiega bez wyraźnych dolegliwości przez lata lub nawet dekady. Objawy pojawiają się stopniowo: najpierw szybciej ścierające się zęby, potem napięcie mięśni po przebudzeniu, z czasem bóle skroniowe lub klikanie stawu żuchwowego. Zdarza się też, że wada estetyczna jest jedynym powodem wizyty – i to jest w pełni uzasadnione. Warto pamiętać, że u dorosłych kości szczęki są uformowane i leczenie trwa nieco dłużej niż u nastolatków – ale jest w pełni możliwe w każdym wieku.
Konsultacja ortodontyczna (300 zł) to wizyta wstępna: ortodonta ocenia zgryz wzrokowo i palcacyjnie, omawia wstępne opcje leczenia i szacunkowy czas. Nie są jeszcze wykonywane zdjęcia RTG ani skany. Wizyta diagnostyczna (400 zł) to rozbudowane badanie: skaner intraoral (cyfrowy odcisk uzębienia), zdjęcia fotograficzne twarzy i zębów, zdjęcie panoramiczne i cefalometryczne. Na tej podstawie powstaje pisemny plan leczenia z dokładną wyceną. W niektórych przypadkach oba etapy można połączyć – lekarz oceni to na pierwszej wizycie.
Tak – i jest to jeden z najczęściej niedocenianych objawów. Mięśnie żucia (skroniowe, żwacze) są jednymi z najsilniejszych mięśni głowy. Gdy zgryz jest nieprawidłowy, pracują asymetrycznie lub pod nadmiernym napięciem – szczególnie nocą przy bruksizmie. Napięcie promieniuje na mięśnie skroniowe, kark i barki, powodując bóle podobne do migren lub napięciowych bólów głowy. Jeśli bóle głowy powtarzają się regularnie – szczególnie rano lub po żuciu twardych pokarmów – warto sprawdzić, czy nie mają podłoża ortodontycznego lub bruksistycznego.
Na pierwszej konsultacji ortodonta przeprowadza wywiad zdrowotny (ogólny i stomatologiczny), ogląda twarz i symetrię w spoczynku i podczas ruchu żuchwy, ocenia ustawienie zębów i relację szczęk (klasa okluzji), sprawdza stan dziąseł i podniebienia oraz pyta o dolegliwości SSŻ, ścieranie zębów i oddychanie. Nie są jeszcze wykonywane pełne zdjęcia RTG – te zlecane są na etapie diagnostyki lub w ramach rozbudowanej wizyty pierwszorazowej. Po konsultacji pacjent wie, czy ma wadę, jakiej jest kategorii i jakie są opcje leczenia.
Masz pytania o swój zgryz? Umów konsultację ortodontyczną w Łodzi
Lek. dent. Ludmiła Rodziewicz i zespół OrtoRodzina przyjmują przy ul. Maćka z Bogdańca 16C, 92-434 Łódź (Widzew). Jeśli dostrzegasz u siebie lub dziecka któryś z opisanych objawów – skontaktuj się z nami. Ocenimy wadę i powiemy wprost, jakie masz opcje leczenia. Ceny orientacyjne — ostateczna wycena po konsultacji z ortodontą.
Ortodoncja
Umów konsultację ortodontyczną w Łodzi
Podczas konsultacji ortodontycznej w naszej klinice przy ul. Maćka z Bogdańca 16C w Łodzi:
- ocenimy wadę zgryzu i wykonamy diagnostykę
- omówimy dostępne metody leczenia
- przedstawimy orientacyjny koszt terapii
- zaplanujemy kolejne etapy leczenia
Jeśli interesują Cię aparaty ortodontyczne, nakładki ortodontyczne lub chcesz poznać orientacyjny koszt leczenia — zostaw dane w formularzu lub zadzwoń do nas bezpośrednio.
Masz pytanie o leczenie ortodontyczne? Nasz zespół pomoże dobrać najlepszą metodę dopasowaną do Twojej wady zgryzu.
+48 507 090 990Pon. – Pt. 9:00–20:00
- doświadczeni ortodonci
- nowoczesna diagnostyka 3D
- leczenie dzieci i dorosłych
- indywidualny plan leczenia
- Łódź – Widzew · Maćka 16C
Zostaw dane — oddzwonimy jeszcze dziś.
Oddzwaniamy w godzinach pracy kliniki — zwykle jeszcze tego samego dnia.
-
Adres
ul. Maćka z Bogdańca 16C
92-434 Łódź, Widzew - Telefon +48 507 090 990
-
Godziny otwarcia
Pon. – Pt.: 9:00 – 20:00
Sob. – Nd.: Zamknięte
