Byłam u dr Renaty Golińskiej na konsultacji w ramach drugiej opinii przed założeniem aparatu stałego i jestem pod dużym wrażeniem wizyty.
Badanie zostało przeprowadzone bardzo dokładnie, również manualnie – Pani Doktor zbadała wszystkie stawy twarzoczaszki, co wcześniej nie było tak szczegółowo analizowane. Otrzymałam jasne wyjaśnienie, dlaczego proponowane jest konkretne leczenie i z czego ono wynika. Wszystko zostało omówione spokojnie i rzeczowo.
Pani Doktor wzbudza duże zaufanie, widać ogromną wiedzę i doświadczenie. Czułam się zaopiekowana i potraktowana indywidualnie.
Na plus także organizacja – dostępny parking dla pacjentów, przyjazny gabinet i komfortowa poczekalnia.
To była bardzo wartościowa konsultacja.
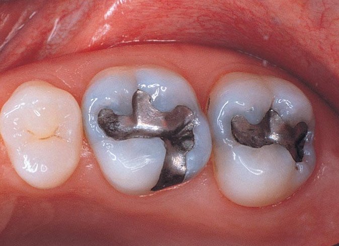
Wymiana starych wypełnień w Łodzi
Przebarwione, pękające lub nieszczelne wypełnienie amalgamatowe lub kompozytowe to nie tylko problem estetyczny – to brama dla nowej próchnicy. Wymieniamy stare wypełnienia na nowoczesny kompozyt dopasowany do koloru zęba, bez bólu i w jednej wizycie.
- Ciemne plamy amalgamatu widoczne przez szkliwo znikają całkowicie – kompozyt wygląda jak naturalny ząb
- Wykrywamy próchnicę wtórną zanim zacznie boleć – mały problem teraz to dużo mniejszy koszt
- Amalgamat usuwamy bez kontaktu z aerozolem rtęci – jesteś bezpieczny przez cały zabieg
- Nowe wypełnienie w kolorze Twojego zęba – naturalny efekt bez śladu po starym
- Komfort gryzienia od pierwszej wizyty – sprawdzamy zwarcie przed wyjściem z fotela
Kiedy stare wypełnienie wymaga wymiany?
Wypełnienia stomatologiczne nie są wieczne – każde ma swój biologiczny kres przydatności. Amalgamat wytrzymuje zazwyczaj 10–15 lat, stare kompozyty z lat 90. i 2000. – podobnie, choć szybciej się degradują estetycznie. Z biegiem lat wypełnienie kurczy się, pęka mikrokrystalicznie lub traci adhezję do tkanek zęba – tworząc szczelinę, przez którą bakterie przenikają pod wypełnienie i powodują próchnicę wtórną.
Najczęstszy powód wymiany wyniku to właśnie ukryta próchnica wtórna – niewidoczna na co dzień, wykrywalna dopiero na RTG lub podczas kontroli. Inne powody to: pęknięcia ścian zęba po amalgamacie, nadwrażliwość odsłoniętej szyjki przy nieszczelnym wypełnieniu, estetyka (ciemne plamy amalgamatu przez szkliwo), a także świadoma decyzja pacjenta o wymianie amalgamatu na kompozyt.
W OrtoRodzina każda wymiana wypełnienia poprzedzona jest dokładną diagnozą RTG i oceną kliniczną. Nie wymieniamy wypełnień, które nadal spełniają swoją funkcję – to nieuzasadniona ingerencja. Ale gdy diagnostyka wskazuje problem, działamy szybko i precyzyjnie, chroniąc maksimum zdrowej tkanki zęba.
- Próchnica wtórna pod starym wypełnieniem – wykrywamy ją RTG przed objawami
- Wymiana amalgamatu na kompozyt w kolorze zęba – w jednej wizycie
- Bezpieczne usuwanie amalgamatu – kofferdam i aspiracja przez cały zabieg
- Nie wymieniamy wypełnień bez wskazań – zawsze diagnoza przed decyzją
Amalgamat – dlaczego pacjenci decydują się na wymianę?
Amalgamat stomatologiczny (stop rtęci, srebra, cyny i miedzi) był przez dekady dominującym materiałem wypełnieniowym – twardy, wytrzymały, tani. Dziś stopniowo wychodzi z użycia w UE (dyrektywa o rtęci zakazuje stosowania amalgamatu od 2025 roku u dzieci, kobiet w ciąży i w trakcie laktacji).
Trzy główne powody wymiany amalgamatu w praktyce klinicznej:
1. Pęknięcia ścian zęba: Amalgamat rozszerza się i kurczy termicznie inaczej niż tkanka zębowa (współczynnik rozszerzalności cieplnej amalgamatu jest dwukrotnie wyższy niż zębiny). Po 10–20 latach naprzemiennych cykli termicznych pojawiają się mikropęknięcia ścian zęba, które można zaobserwować lampą transilluminacyjną.
2. Nieszczelność i próchnica wtórna: Margines amalgamatu ulega korozji elektrolitycznej – tworzy się rozejście między wypełnieniem a zębiną, umożliwiając penetrację bakterii. Przebarwienie brzegu wypełnienia (ciemna kreska wzdłuż marginesu) to klasyczny sygnał.
3. Estetyka: Amalgamat prześwieca przez szkliwo jako szara plama. Dla wielu pacjentów – szczególnie przy pracy z wypełnieniami w zębach przednich lub widocznych przedtrzonowcach – jest to wystarczający powód do wymiany na naturalny kompozyt.
- Po 10–20 latach amalgamat klinuje ząb od środka – Twoje ściany mogą pękać zanim poczujesz ból
- Korodujący brzeg amalgamatu tworzy szparę dla bakterii – próchnica rośnie pod wypełnieniem bez żadnych objawów
- Ciemna plama widoczna przez szkliwo znika całkowicie – kompozyt wygląda jak naturalny ząb
Próchnica wtórna pod starym wypełnieniem – jak ją wykryć?
Próchnica wtórna (recurrent caries) rozwijająca się pod lub przy krawędzi istniejącego wypełnienia jest podstępna – przez długi czas nie boli i jest niewidoczna. Dlatego co 6–12 miesięcy wykonujemy diagnostyczne zdjęcia RTG skrzydłowo-zgryzowe (bitewing), które uwidaczniają zacienienie pod wypełnieniami w przestrzeniach międzyzębowych.
W diagnostyce stosujemy kilka metod:
Cyfrowe RTG bitewing – złoty standard wykrywania próchnicy wtórnej w strefach kontaktowych. Dawka promieniowania 4–8× niższa niż w klasycznym RTG. Przy podejrzeniu zmiany pod starym amalgamatem – jedyne wiarygodne narzędzie oceny.
Transilluminacja (DIFOTI / NIRI) – oświetlenie zęba bocznym wiązką światła LED lub bliskiej podczerwieni. Próchnica pochłania światło – widoczna jako ciemna plama bez promieniowania jonizującego.
Ocena kliniczna marżiny za pomocą sondy – lekarz wyczuwa uskok, szczelinkę lub miękkie podłoże przy marginesie wypełnienia.
Ważna zasada: nie wymieniamy wypełnienia bez wskazań. Decyzja o wymianie musi być oparta na obiektywnej diagnozie. Niepotrzebna wymiana wypełnienia = zbędne zdjęcie zdrowej tkanki zębowej.
- RTG wykrywa próchnicę pod wypełnieniem zanim zacznie boleć – czas działania różni małą plombę od kanałowego
- Prześwietlanie zęba światłem wykrywa zmiany bez promieniowania – dodatkowa warstwa kontroli
- Lekarz nie wymienia wypełnienia bez potwierdzonego wskazania – Twoje zdrowe tkanki są zawsze chronione
Jak wyglądać bezpieczna wymiana wypełnienia amalgamatowego?
Usuwanie amalgamatu to procedura wymagająca ostrożności – wiercenie generuje pył i aerozol rtęci, który bez odpowiedniego zabezpieczenia trafi do dróg oddechowych pacjenta i personelu. W OrtoRodzina stosujemy protokół SMART (Safe Mercury Amalgam Removal Technique):
Kofferdam: Izoluje pole robocze – pacjent nie połyka odłamków amalgamatu ani aerozolu.
Cięcie sektorowe (chunk technique): Amalgamat wycinamy w możliwie dużych kawałkach zamiast szlifowania na proszek – minimalizuje ilość uwalnianej rtęci i skraca czas ekspozycji.
Aspiracja amalgamatu i aerozolu: Silna ssawka chirurgiczna przy wiertłem przez cały czas wycinania.
Chłodzenie wodą i powietrzem: Zmniejsza nagrzewanie amalgamatu i parowanie rtęci.
Po usunięciu amalgamatu oceniamy tkankę pod wypełnieniem: czy jest próchnica wtórna, czy ściany zęba są wystarczające. Następnie wykonujemy nową odbudowę kompozytową w technice selektywnego trawienia i adhezji. Efekt: ząb wyglądający naturalnie, bez śladów po ciemnym amalgamacie.
- Izolacja pola roboczego uniemożliwia połknięcie pyłu rtęci – jesteś bezpieczny przez cały zabieg
- Amalgamat wycinamy w dużych kawałkach zamiast szlifować na proszek – krótszy czas ekspozycji
- Nowa odbudowa kompozytowa w kolorze zęba – naturalny efekt od razu po wyjściu z fotela
Wymiana wypełnienia – przebieg wizyty krok po kroku
Wymiana pojedynczego wypełnienia trwa zazwyczaj 45–75 minut. W jednej wizycie wymieniamy zazwyczaj 1–3 wypełnienia w tym samym kwadrancie zębowym.
-
1. Konsultacja i diagnostyka
Ocena kliniczna + RTG bitewing. Lekarz ocenia margines wypełnienia, bada sondą, ocenia przebarwienia i ewentualne pęknięcia ścian. Podejmuje decyzję o wymianie i wyjaśnia pacjentowi plan leczenia – którą metodą i dlaczego.
RTG zębów – diagnostyka przed wymianą -
2. Znieczulenie miejscowe i izolacja koferdamem
Przy czułych lub głębokich wypełnieniach podajemy znieczulenie. Kofferdam izoluje zęby poddawane wymianie – konieczny przy amalgamacie, wskazany przy każdym zabiegu adhezyjnym.
-
3. Usunięcie starego wypełnienia
Amalgamat: protokół SMART – cięcie sektorowe, aspiracja, chłodzenie. Stary kompozyt: frezowanie diamentowe do granicy z tkanką. Ocena podłoża: twardość zębiny, ewentualna próchnica wtórna, stan ścian zęba. W razie próchnicy wtórnej – pełne jej usunięcie przed nowym wypełnieniem.
-
4. Nowe wypełnienie kompozytowe
Selektywne trawienie kwasem fosforowym szkliwa, aplikacja universalnego bonda, warstwowe nakładanie kompozytu bulk-fill i nano-hybrydowego. Dobór koloru z klucza Vita przed znieczuleniem (znieczulenie i kofferdam mogą odbarwiać zęby chwilowo). Każda warstwa polimeryzowana lampą LED.
Rodzaje kompozytów stosowanych w OrtoRodzina -
5. Okluzja, polerowanie i zalecenia pozabiegowe
Korekta wysokości zwarcia – bibułka artykuacyjna i papier okluzyjny 8 µm. Polerowanie gumkami do lustrzanego połysku. Zalecenia: 2 godziny bez jedzenia, unikanie bardzo twardych pokarmów przez 24h, regularne kontrole co 6–12 miesięcy.
Kiedy wymiana wypełnienia jest wskazana?
Nie każde stare wypełnienie wymaga wymiany – tylko wtedy, gdy diagnostyka wykaże jeden z poniższych sygnałów klinicznych lub radiologicznych.
-
Próchnica wtórna pod wypełnieniem
Zacienienie radiologiczne przy marginesie wypełnienia na RTG bitewing – najczęstszy i najważniejszy powód wymiany.
-
Pęknięcia ścian zęba po amalgamacie
Mikropęknięcia ścian, widoczne transilluminatorem jako ciemne linie – amalgamat rozszerzający się termicznie stopniowo klinuje ząb od środka.
-
Nieszczelny margines wypełnienia
Sonowalny uskok lub szczelinę przy krawędzi wypełnienia – bakterie penetrują pod wypełnienie, nawet bez widocznej próchnicy na RTG.
-
Przebarwiony lub uszkodzony brzeg kompozytu
Ciemna linia wzdłuż marginesu starego kompozytu lub odłamanie krawędzi wypełnienia – utrata estetyki i szczelności jednocześnie.
-
Ból lub nadwrażliwość przy wykonywanym wypełnieniu
Nadwrażliwość na zimno i dotyk zlokalizowana przy konkretnym zębie z wieloletnim wypełnieniem może świadczyć o nieszczelności lub próchnicy wtórnej.
-
Amalgamat widoczny przez szkliwo
Ciemnoszara plama przeświecająca przez koronę zęba – estetyczny powód wymiany szczególnie w zębach widocznych przy uśmiechu.
-
Wypełnienie wypadło lub jest poluzowane
Całkowite lub częściowe wypadnięcie starego wypełnienia – odsłonięta zębina wymaga niezwłocznego wypełnienia, by uniknąć próchnicy i nadwrażliwości.
-
Planowana estetyczna rekonstrukcja przedniego segmentu
Wymiana starych kompozytów przednich przed wybielaniem lub bondingiem – dla spójnego efektu estetycznego całego uśmiechu.
Umów kontrolę wypełnień – OrtoRodzina Łódź
Przyjmujemy w OrtoRodzina – ul. Maćka z Bogdańca 16C, 92-434 Łódź (Widzew). Ocena stanu wypełnień z RTG diagnostycznym, bezpieczna wymiana amalgamatu protokołem SMART – wszystko w jednej klinice. Ceny orientacyjne – ostateczna wycena po badaniu.
Pacjenci o wymianie wypełnień w OrtoRodzina
Wymiana starych wypełnień – najczęstsze pytania
Koszt zależy od rozmiaru i klasy nowego wypełnienia. Małe wypełnienie kompozytowe – od 300 zł. Rozległe wypełnienie (klasy I–V) – 350–500 zł. Gdy pod starym wypełnieniem jest próchnica wtórna wymagająca głębszego opracowania lub materiału biologicznie czynnego – cena może być wyższa. Konsultacja stomatologiczna z RTG – 200 zł. Ceny orientacyjne – ostateczna wycena po badaniu.
Amalgamat w stabilnym stanie nie wymaga wymiany wyłącznie ze względów zdrowotnych – WHO i EFSA uznają, że ilość rtęci uwalniana ze stabilnego wypełnienia amalgamatowego jest minimalna. Wymiana zdrowego amalgamatu generuje chwilowy pik ekspozycji na rtęć podczas wiercenia. Wskazania do wymiany to: pęknięcia ścian zęba, nieszczelny margines, próchnica wtórna, estetyka lub decyzja pacjenta. Nigdy nie wymieniamy amalgamatu "profilaktycznie" bez wskazań klinicznych.
Nowoczesny kompozyt nanohybrydowy przy dobrej technice (kofferdam, selektywne trawienie, warstwowanie): 7–12 lat dla średnich wypełnień, 5–8 lat dla rozległych ubytków klas II z dużym naprężeniem zgryzowym. Na trwałość wpływa bruksizm (niszczy szybciej), dieta kwasowa i jakość higieny. Regularne kontrole co 6–12 miesięcy pozwalają wykryć wczesne oznaki starzenia przed pojawieniem się próchnicy wtórnej.
Wymiana wypełnienia wykonywana jest w znieczuleniu miejscowym – zabieg jest bezbolesny. Po ustąpieniu znieczulenia może wystąpić krótkotrwała nadwrażliwość na zimno (1–3 dni), szczególnie gdy ubytek był bliski miazdze lub nowe wypełnienie jest głębsze niż poprzednie. Utrzymująca się nadwrażliwość powyżej tygodnia lub spontaniczny ból nocny wymagają kontroli – mogą świadczyć o konieczności leczenia kanałowego.
Tak – zazwyczaj wymieniamy 1–3 wypełnienia w jednym kwadrancie zębowym podczas jednej wizyty (ok. 45–90 minut). Wymiana wielu amalgamatów w całych ustach planowana jest etapami – kwadrant po kwadrancie, co 2–4 tygodnie – by unikać zbyt długiego czasu znieczulenia i zmęczenia pacjenta. Plan etapowy omawiamy na konsultacji.
To zależy od stanu ścian zęba po usunięciu amalgamatu. Gdy amalgamat był jedynym wypełnieniem rozległego ubytku, po jego usunięciu okazuje się, że ściany zęba są cienkie lub pęknięte – wówczas samo wypełnienie może nie wystarczyć. Lekarz może zaproponować inlay/onlay lub koronę protetyczną jako trwalszą rekonstrukcję. Decyzja podejmowana jest po ocenie klinicznej in situ – nie można jej przewidzieć przed otwarciem zęba.
Standardowa higiena – szczotkowanie 2× dziennie, nitkowanie lub irygator. Przez pierwsze 24 godziny po wymianie unikaj bardzo twardych i lepkich pokarmów (karmel, orzechy, lody gryzowe). Unikaj nadmiernych sił zgryzu – jeśli masz bruksizm, warto rozważyć szynę relaksacyjną. Kontrola stomatologiczna co 6–12 miesięcy: lekarz ocenia integralność marginesów i brak próchnicy wtórnej.
Powiązane usługi – kompleksowa kontrola stanu uzębienia
Wymiana wypełnień to dobry moment na kompleksową ocenę całego uzębienia i zaplanowanie ewentualnych kolejnych kroków leczenia.
Wypełnienia kompozytowe
Nowoczesny kompozyt nanohybrydowy i bulk-fill – materiały, którymi zastępujemy stary amalgamat i zdegradowane wypełnienia.
Dowiedz się więcej
Odbudowa zęba
Gdy pod starym wypełnieniem ubytek okazuje się zbyt duży na nowe wypełnienie – wkład z włókna szklanego lub inlay ceramiczny.
Dowiedz się więcej
Higienizacja zębów
Skaling i piaskowanie usuwają kamień i osad z okolicy wypełnień – idealne uzupełnienie wizyty wymiany dla pełnego efektu.
Dowiedz się więcej
Leczenie bruksizmu
Bruksizm niszczy nowe wypełnienia szybciej niż próchnica – szyna relaksacyjna chroni świeżo wymienione wypełnienia przez kolejne lata.
Dowiedz się więcej
Leczenie próchnicy
Próchnica wtórna wykryta przy wymianie wymaga pełnego leczenia – usuwamy zakażoną tkankę i wykonujemy nową szczelną odbudowę.
Dowiedz się więcej
Korony zębowe
Gdy po usunięciu amalgamatu ściany zęba są zbyt osłabione – korona protetyczna to pełna i trwała rekonstrukcja.
Dowiedz się więcejWymieńmy stare wypełnienia – OrtoRodzina Łódź
Przyjmujemy w OrtoRodzina – Nowoczesne Centrum Ortodoncji, ul. Maćka z Bogdańca 16C, 92-434 Łódź (Widzew). Bezpieczna wymiana amalgamatu, diagnostyka RTG, nowoczesne wypełnienia kompozytowe – wszystko pod jednym dachem. Ceny orientacyjne — ostateczna wycena po konsultacji.
Ortodoncja
Umów konsultację ortodontyczną w Łodzi
Podczas konsultacji ortodontycznej w naszej klinice przy ul. Maćka z Bogdańca 16C w Łodzi:
- ocenimy wadę zgryzu i wykonamy diagnostykę
- omówimy dostępne metody leczenia
- przedstawimy orientacyjny koszt terapii
- zaplanujemy kolejne etapy leczenia
Jeśli interesują Cię aparaty ortodontyczne, nakładki ortodontyczne lub chcesz poznać orientacyjny koszt leczenia — zostaw dane w formularzu lub zadzwoń do nas bezpośrednio.
Masz pytanie o leczenie ortodontyczne? Nasz zespół pomoże dobrać najlepszą metodę dopasowaną do Twojej wady zgryzu.
+48 507 090 990Pon. – Pt. 9:00–20:00
- doświadczeni ortodonci
- nowoczesna diagnostyka 3D
- leczenie dzieci i dorosłych
- indywidualny plan leczenia
- Łódź – Widzew · Maćka 16C
Zostaw dane — oddzwonimy jeszcze dziś.
Oddzwaniamy w godzinach pracy kliniki — zwykle jeszcze tego samego dnia.
-
Adres
ul. Maćka z Bogdańca 16C
92-434 Łódź, Widzew - Telefon +48 507 090 990
-
Godziny otwarcia
Pon. – Pt.: 9:00 – 20:00
Sob. – Nd.: Zamknięte
