Byłam u dr Renaty Golińskiej na konsultacji w ramach drugiej opinii przed założeniem aparatu stałego i jestem pod dużym wrażeniem wizyty.
Badanie zostało przeprowadzone bardzo dokładnie, również manualnie – Pani Doktor zbadała wszystkie stawy twarzoczaszki, co wcześniej nie było tak szczegółowo analizowane. Otrzymałam jasne wyjaśnienie, dlaczego proponowane jest konkretne leczenie i z czego ono wynika. Wszystko zostało omówione spokojnie i rzeczowo.
Pani Doktor wzbudza duże zaufanie, widać ogromną wiedzę i doświadczenie. Czułam się zaopiekowana i potraktowana indywidualnie.
Na plus także organizacja – dostępny parking dla pacjentów, przyjazny gabinet i komfortowa poczekalnia.
To była bardzo wartościowa konsultacja.
Tomografia CBCT 3D w Łodzi
Aparat RTG pokazuje cień. Tomografia CBCT 3D pokazuje trójwymiarowy model – kanały korzeniowe, kość pod implant, stawy żuchwowe i oba łuki jednocześnie. Jeden aparat. Cztery wyspecjalizowane badania. Wynik gotowy tego samego dnia.
- Jedno badanie – zęby, implanty, stawy i pełny łuk. Bez odsyłania do zewnętrznej pracowni.
- Dawka dostosowana do Twojego przypadku – lekarz dobiera zawsze minimalny zakres skanowania.
- Wynik tego samego dnia – trójwymiarowy obraz gotowy bezpośrednio po badaniu.
- Bezbolesne i bez przygotowania – ok. 20 sekund, bez nakłuć, bez diety ani odstawiania leków.
- Diagnostyka i leczenie pod jednym dachem – wynik od razu do dyspozycji lekarza w klinice.
Czym jest tomografia CBCT i jak różni się od klasycznego RTG
Tomografia CBCT 3D tworzy trójwymiarowy model uzębienia, kości, stawów i zatok. Lekarz ogląda każdą strukturę z dowolnej strony i w dowolnym przekroju – bez nakładania tkanek na siebie jak na zwykłej panoramie OPG. To nie jest lepsza wersja RTG – to inny wymiar informacji.
CBCT nie jest badaniem rutynowym. Zlecane jest wtedy, gdy zwykłe zdjęcie nie daje danych wystarczających do decyzji – np. przed wszczepem implantu, przy trudnym leczeniu kanałowym, diagnostyce stawów żuchwowych lub planowaniu leczenia ortodontyczno-chirurgicznego. W OrtoRodzina badanie realizowane jest na miejscu, bez odsyłania do zewnętrznej pracowni. Wynik w dniu badania. RTG panoramiczne OPG pozostaje pierwszą linią diagnostyki – CBCT uzupełnia je, gdy dane 2D nie wystarczą.
- Obraz 3D zamiast płaskiego RTG – każda struktura we własnym miejscu, bez nakładania tkanek na siebie
- Dawka zawsze dostosowana do zakresu – od jednego zęba po oba łuki; minimalny zakres wystarczający dla Twojego przypadku
- Wynik tego samego dnia – jeden plik dla całego zespołu lekarskiego; planowanie od razu, bez czekania na zewnętrzny opis
- Badanie celowane, nie rutynowe – zlecane gdy zwykłe RTG nie wystarcza; uzupełnia panoramę OPG, nie zastępuje jej
Pole widzenia CBCT – small, medium i large FOV dopasowane do wskazań klinicznych
Nie każde badanie CBCT jest takie samo. Lekarz dobiera zakres skanowania na podstawie Twojego konkretnego przypadku. Im mniejszy zakres, tym niższa dawka promieniowania. W OrtoRodzina zawsze dobieramy minimalny zakres, który odpowiada na pytanie kliniczne.
Mały zakres (jeden ząb lub sektor) – najwyższa precyzja przy minimalnej dawce. Stosowany przy diagnostyce kanałów korzeniowych, zmianach przy korzeniu i ocenie jednego stawu żuchwowego.
Średni zakres (kwadrant lub sektor łuku) – planowanie jednego lub dwóch implantów, ocena fragmentu kości wyrostka. Pełny zakres (obie szczęki jednocześnie) – implantacja wielomiejscowa, rekonstrukcja All-on-4/6, obustronne podniesienie dna zatoki. Szczegóły resekcji wierzchołka korzenia – zabiegu często poprzedzonego CBCT – opisujemy na stronie resekcji wierzchołka korzenia.
- Jeden ząb lub sektor – najwyższa precyzja przy minimalnej dawce promieniowania.
- Jeden kwadrant – wystarczający zakres do planowania implantu lub oceny jednego stawu żuchwy.
- Obie szczęki jednocześnie – właściwe przy implantacji wielomiejscowej i rekonstrukcji All-on-4/6.
- Lekarz zawsze dobiera minimalny zakres – dokładnie tyle, ile potrzeba dla Twojego przypadku.
Jak wygląda badanie CBCT w OrtoRodzina – od konsultacji do pliku DICOM
Badanie CBCT w OrtoRodzina nie wymaga skierowania od zewnętrznego radiologa. Lekarz zleca je podczas konsultacji, gdy zwykłe RTG nie daje wystarczających danych do zaplanowania leczenia.
Sama ekspozycja trwa ok. 20 sekund. Pacjent zajmuje pozycję przy aparacie, głowa stabilizowana jest podpórkami, aparat wykonuje obrót i rejestruje obraz 3D. Nie boli. Nie wymaga nakłuć ani środków kontrastowych. Wynik cyfrowy jest gotowy w kilka minut i od razu trafia do lekarza prowadzącego.
Jeśli masz CBCT wykonane w innej klinice – przynieś je na pendrivie. Format cyfrowy jest odczytywalny w OrtoRodzina bez konwersji. Jeśli zakres i jakość pliku są wystarczające, nie musisz powtarzać badania. Przy bruksizmie wynik CBCT uzupełniamy badaniem Modjaw – mierzy ono ruch szczęki i napięcie mięśni żucia. Szczegóły diagnostyki ortodontycznej opisujemy na stronie diagnostyki ortodontycznej.
- Ekspozycja ok. 20 sekund – jedynym wymogiem jest nieruchomość podczas obrotu aparatu
- Bez przygotowania – nie musisz być na czczo ani odstawiać leków; dostępne podczas zwykłej wizyty
- Wynik gotowy w kilka minut – jeden plik dla ortodonty, implantologa i chirurga
- Omówienie z lekarzem na miejscu – plan leczenia ustalany od razu, bez czekania na zewnętrzny opis
6 klinicznych zastosowań tomografii CBCT w OrtoRodzina
Badanie CBCT zlecane jest wtedy, gdy diagnostyka 2D nie dostarcza danych wystarczających do decyzji klinicznej. Poniżej sześć głównych obszarów, w których tomografia CBCT zmienia plan leczenia.
Endodoncja i diagnostyka zębowa
Kanały korzeniowe w 3D – dodatkowe kanały, kalcyfikacje i rozgałęzienia niewidoczne na zwykłym RTG. Lekarz widzi zmiany przy korzeniu i pęknięcia pionowe zanim otworzy ząb.
Planowanie implantologiczne
Grubość i jakość kości przed wszczepem, przebieg nerwu żuchwowego, stan dna zatoki. Lekarz planuje pozycję implantu na danych 3D zanim wykona jakiekolwiek wiercenie.
Chirurgia stomatologiczna
Trójwymiarowa lokalizacja zatrzymanego zęba lub ósemki przed zabiegiem – lekarz wie dokładnie gdzie operować. Planowanie resekcji wierzchołka korzenia z dokładnością co do milimetra.
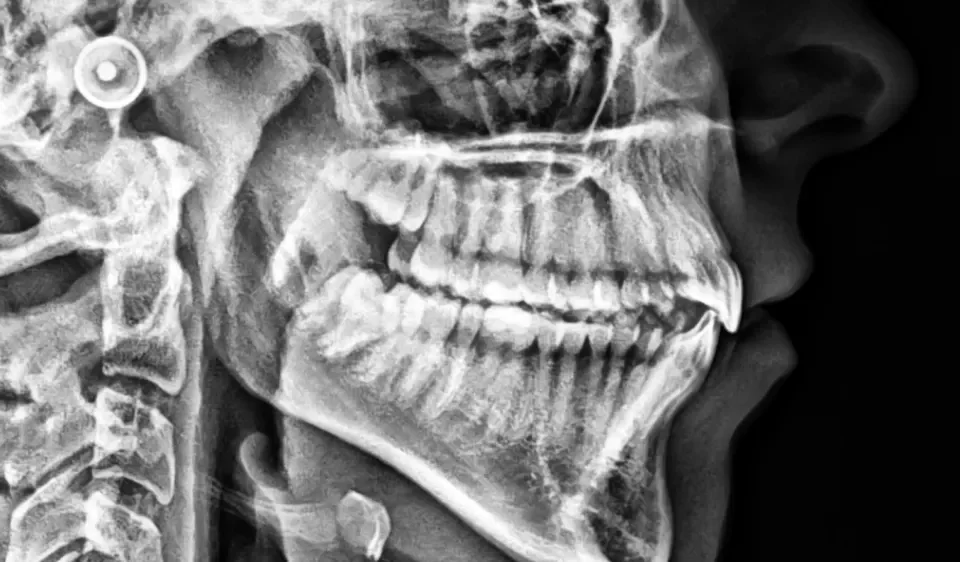
Diagnostyka stawów skroniowo-żuchwowych
Obraz struktury stawów żuchwowych w 3D – erozja i resorpcja kłykcia widoczna z dokładnością niedostępną na RTG. Uzupełnienie badania Modjaw przy bruksizmie i bólu stawów.
Ortodoncja przy wadach szkieletowych
Relacje kątowe i liniowe między szczękami na modelu 3D. Pozycja korzeni w kości. Asymetria twarzy mierzona precyzyjnie – podstawa planowania leczenia ortodontyczno-chirurgicznego.
Rozległa rekonstrukcja obu łuków
Obie szczęki w jednym skanowaniu – mapa kości we wszystkich kwadrantach. Właściwe przy implantacji wielomiejscowej, obustronnym podniesieniu dna zatoki i rekonstrukcji All-on-4/6.
Badania CBCT 3D i powiązane usługi diagnostyczne w OrtoRodzina
Cztery wyspecjalizowane badania CBCT realizowane w OrtoRodzina – każde dopasowane do konkretnych wskazań klinicznych. Diagnostyka uzupełniona leczeniem w tym samym miejscu.
Tomografia CBCT do implantów
Ocena grubości i jakości kości, przebiegu nerwu żuchwowego i dna zatoki. Lekarz planuje pozycję implantu na danych 3D zanim wykona pierwsze wiercenie.
Dowiedz się więcej
Tomografia CBCT zębów
Kanały korzeniowe, zmiany przy korzeniu i złamania pionowe widoczne w 3D. Diagnostyka zatrzymanych zębów przed zabiegiem chirurgicznym.
Dowiedz się więcej
Tomografia CBCT stawów SSŻ
Obraz struktury stawów żuchwowych w 3D – erozja i resorpcja kłykcia. Uzupełnienie badania Modjaw przy bruksizmie i bólu stawów.
Dowiedz się więcej
Tomografia CBCT szczęki i żuchwy
Obie szczęki w jednym skanowaniu – obustronna ocena zatok i kanałów żuchwowych. Jeden plik dla ortodonty, implantologa i chirurga.
Dowiedz się więcej
RTG zębów
Zdjęcie panoramiczne OPG i periapikalne jako pierwsza linia diagnostyki obrazowej – szybka, niskodawkowa diagnostyka przesiewowa uzupełniająca badanie CBCT w wielu przypadkach klinicznych.
Dowiedz się więcej
Implantologia
Planowanie wszczepów na podstawie danych 3D z CBCT – ocena geometrii kości, kwalifikacja do sinus liftingu i augmentacji przed implantacją w OrtoRodzina.
Dowiedz się więcejLekarz zalecił Ci tomografię CBCT? Możesz ją wykonać w OrtoRodzina – bez odsyłania.
Wykonujemy wszystkie rodzaje badań CBCT w OrtoRodzina – ul. Maćka z Bogdańca 16C, 92-434 Łódź. Wynik DICOM gotowy tego samego dnia, badanie bez skierowania zewnętrznego, dostępne podczas umówionej wizyty.
Pacjenci o diagnostyce i leczeniu w OrtoRodzina Łódź
Tomografia CBCT 3D – najczęściej zadawane pytania
Nie – w OrtoRodzina badanie CBCT może być zlecone przez lekarza kliniki bezpośrednio podczas konsultacji. Zewnętrzne skierowanie od radiologa nie jest wymagane. Jeśli lekarz prowadzący spoza kliniki (np. stomatolog z innej placówki) przekazał Ci skierowanie na CBCT z konkretnym zakresem pola widzenia – wykonamy badanie zgodnie z tym zleceniem i dostarczymy plik DICOM w standardowym formacie oraz opis. Skierowanie od lekarza spoza kliniki jest mile widziane, nie jest jednak warunkiem koniecznym.
OPG to projekcja płaska – wszystkie struktury jamy ustnej rzutowane są na jeden obraz; struktury leżące przed sobą i za sobą nakładają się. CBCT rejestruje trójwymiarowy model: każda struktura ma swoje miejsce w przestrzeni i jest widoczna bez nakładania na sąsiednie elementy. OPG jest szybszym, niskonakładowym badaniem przesiewowym – zalecane jako pierwsza diagnostyka obrazowa przed zdecydowaną większością procedur. CBCT stosowane jest jako kolejny krok, gdy dane 2D nie są wystarczające do podjęcia decyzji klinicznej: precyzyjne planowanie implantu, diagnostyka kanałów korzeniowych, ocena stawów SSŻ lub wad szkieletowych to typowe wskazania nieobsługiwane przez OPG.
Koszt badania ustalany jest indywidualnie i uzależniony od rodzaju badania oraz zakresu pola widzenia. Cena badania small FOV (jeden ząb lub sektor, stosowanego m.in. w endodoncji lub przy diagnostyce stawu SSŻ) jest niższa niż medium FOV przy planowaniu implantu sektorowego, a ta niższa niż large FOV obejmującego oba łuki. Na konsultacji lekarz określa minimalne wystarczające pole widzenia i podaje dokładną wycenę. Aktualny cennik wszystkich usług dostępny jest na stronie kliniki.
Dawka pochłonięta zależy od pola widzenia i parametrów ekspozycji. Small FOV (jeden ząb lub sektor) to ok. 10–40 µSv; medium FOV to ok. 40–100 µSv; large FOV dla obu łuków ok. 60–180 µSv. Dla porównania: roczna dawka naturalnego tła promieniowania w Polsce wynosi ok. 2400 µSv; spiralna tomografia medyczna głowy i szyi generuje 600–1000 µSv. Jedno badanie CBCT small FOV odpowiada kilku dniom naturalnego tła. W OrtoRodzina stosujemy zasadę ALARA: minimalne pole widzenia wystarczające do odpowiedzi na pytanie kliniczne, bez rutynowego stosowania dużych pól tam, gdzie mniejsze jest wystarczające. Badanie nie jest zalecane kobietom w ciąży bez wyraźnego wskazania; prosimy poinformować lekarza o ewentualnej ciąży.
Sama ekspozycja trwa 10–20 sekund – tyle samo dla małego zakresu jak i pełnego. Różni się zakres rejestrowanego pola, nie czas trwania obrotu. Rekonstrukcja pliku DICOM po ekspozycji zajmuje 2–5 minut. Z przyjazdu do wyjścia, wliczając przygotowanie pozycji, rekonstrukcję i wstępne omówienie z lekarzem, zazwyczaj 20–30 minut. Nie trzeba być na czczo, nie trzeba odstawiać leków ani stosować szczególnej diety. Warto zabrać dokumentację medyczną – poprzednie zdjęcia RTG lub wyniki CBCT z innych placówek – by lekarz mógł porównać je z aktualnym badaniem.
Tak – format DICOM jest otwartym standardem odczytywanym przez oprogramowanie stosowane w OrtoRodzina bez konwersji i utraty danych. Plik DICOM z badania wykonanego w innej klinice lub pracowni przyniesiony na pendrivie lub płycie CD jest od razu do dyspozycji lekarza. Jeśli zakres pola widzenia i jakość pliku są wystarczające do planowania, powtarzanie badania nie jest konieczne. Lekarz ocenia dane i informuje, czy wystarczą do realizacji planu leczenia – lub czy zakres badania wymaga uzupełnienia.
Nie zawsze – zależy od złożoności przypadku. Przy prostym wszczepie implantu z dobrze widoczną kością na OPG, bez implantów blisko kanału nerwowego i bez wskazań do augmentacji, lekarz może uznać OPG i zdjęcie celowane za wystarczające. CBCT jest zalecane gdy: kość jest atroficzna lub jej objętość wymaga precyzyjnej oceny 3D; wszczep planowany jest blisko kanału zębodołowego lub dna zatoki; planowana jest implantacja wielomiejscowa lub augmentacja. W endodoncji CBCT wskazane jest przy niestandardowej anatomii kanałów, powtórnym leczeniu, resorpcji lub zmianach o niejasnym zasięgu – nie standardowo przy każdym leczeniu kanałowym.
Tomografia CBCT 3D w OrtoRodzina Łódź – diagnostyka, planowanie i leczenie w jednym miejscu
Zapraszamy do OrtoRodzina – ul. Maćka z Bogdańca 16C, 92-434 Łódź. Cztery rodzaje badań CBCT, wynik DICOM gotowy tego samego dnia. Diagnostyka i leczenie pod jednym dachem – bez odsyłania do zewnętrznych pracowni.
Ortodoncja
Umów konsultację ortodontyczną w Łodzi
Podczas konsultacji ortodontycznej w naszej klinice przy ul. Maćka z Bogdańca 16C w Łodzi:
- ocenimy wadę zgryzu i wykonamy diagnostykę
- omówimy dostępne metody leczenia
- przedstawimy orientacyjny koszt terapii
- zaplanujemy kolejne etapy leczenia
Jeśli interesują Cię aparaty ortodontyczne, nakładki ortodontyczne lub chcesz poznać orientacyjny koszt leczenia — zostaw dane w formularzu lub zadzwoń do nas bezpośrednio.
Masz pytanie o leczenie ortodontyczne? Nasz zespół pomoże dobrać najlepszą metodę dopasowaną do Twojej wady zgryzu.
+48 507 090 990Pon. – Pt. 9:00–20:00
- doświadczeni ortodonci
- nowoczesna diagnostyka 3D
- leczenie dzieci i dorosłych
- indywidualny plan leczenia
- Łódź – Widzew · Maćka 16C
Zostaw dane — oddzwonimy jeszcze dziś.
Oddzwaniamy w godzinach pracy kliniki — zwykle jeszcze tego samego dnia.
-
Adres
ul. Maćka z Bogdańca 16C
92-434 Łódź, Widzew - Telefon +48 507 090 990
-
Godziny otwarcia
Pon. – Pt.: 9:00 – 20:00
Sob. – Nd.: Zamknięte
