Byłam u dr Renaty Golińskiej na konsultacji w ramach drugiej opinii przed założeniem aparatu stałego i jestem pod dużym wrażeniem wizyty.
Badanie zostało przeprowadzone bardzo dokładnie, również manualnie – Pani Doktor zbadała wszystkie stawy twarzoczaszki, co wcześniej nie było tak szczegółowo analizowane. Otrzymałam jasne wyjaśnienie, dlaczego proponowane jest konkretne leczenie i z czego ono wynika. Wszystko zostało omówione spokojnie i rzeczowo.
Pani Doktor wzbudza duże zaufanie, widać ogromną wiedzę i doświadczenie. Czułam się zaopiekowana i potraktowana indywidualnie.
Na plus także organizacja – dostępny parking dla pacjentów, przyjazny gabinet i komfortowa poczekalnia.
To była bardzo wartościowa konsultacja.
Tomografia CBCT szczęki i żuchwy w Łodzi
Gdy plan leczenia obejmuje wiele sektorów, obie szczęki jednocześnie lub łączy implantologię z diagnostyką ortodontyczną – badanie sektorowe nie wyczerpuje potrzeb diagnostycznych. Tomografia CBCT szczęki i żuchwy z dużym polem widzenia dostarcza w jednym obrocie gantry trójwymiarowy obraz całego kompleksu zębowo-szczękowego: uzębienia, wyrostków zębodołowych, dna obu zatok szczękowych, kanałów żuchwowych obustronnie i stawów skroniowo-żuchwowych. Jeden plik DICOM dla ortodonty, implanatologa i chirurga – bez rozbieżności między oddzielnymi badaniami. Umów diagnostykę CBCT i uzyskaj spójną mapę anatomiczną całego układu.
- Obie szczęki na jednym zdjęciu — zęby, kość i nerwy górnej i dolnej szczęki zarejestrowane razem; ortodonta, implantolog i chirurg pracują na tym samym pliku bez ryzyka rozbieżności
- Obie zatoki szczękowe ocenione jednocześnie — lekarz sprawdza stan każdej zatoki osobno i kwalifikuje do podniesienia dna zatoki po prawej i lewej stronie w jednej wizycie
- Nerw w żuchwie widoczny po obu stronach — implant w bocznym odcinku żuchwy planowany z dokładnością co do milimetra; bez tej wiedzy margines bezpieczeństwa jest szacowany, nie mierzony
- Jak górna szczęka układa się względem dolnej — w 3D, nie na płaskim zdjęciu; kluczowe przy asymetrii twarzy, rozległej protetyce i planowaniu leczenia ortodontyczno-chirurgicznego
- Stawy żuchwowe w tym samym pliku co zęby i kość — gdy dysfunkcja stawów łączy się z planowaną implantologią lub ortodoncją, lekarz widzi cały układ zamiast składać wnioski z osobnych badań
Duże pole widzenia CBCT – kiedy pełny obraz szczęki i żuchwy zamiast badania sektorowego
Tomografia CBCT z małym i średnim polem widzenia (small/medium FOV) jest optymalnym wyborem przy diagnozowaniu wybranych zębów, jednego odcinka łuku lub izolowanego stawu. Minimalna dawka, maksymalna rozdzielczość w obszarze zainteresowania. Gdy jednak leczenie obejmuje wiele miejsc w różnych kwadrantach lub wymaga jednoczesnej oceny relacji między całą szczęką a całą żuchwą – badanie sektorowe musi być wykonane wielokrotnie, a wyniki z różnych plików mogą nieznacznie się różnić ze względu na odmienną pozycję głowy podczas każdej ekspozycji.
Tomografia CBCT szczęki i żuchwy z dużym polem widzenia (large FOV, typowo 13x15 cm lub 16x16 cm) generuje w jednym obrocie gantry kompletny obraz: oba łuki zębowe, wyrostki zębodołowe czterech kwadrantów, przestrzenie zatok szczękowych, oba kanały żuchwowe, stawy skroniowo-żuchwowe i geometria szkieletu twarzy. Wszystkie struktury zarejestrowane w tej samej pozycji pacjenta, w tym samym odwołaniu przestrzennym. Plik DICOM z takiego badania jest jedyną dokumentacją, dzięki której ortodonta, stomatolog implantolog i chirurg pracują na identycznym zbiorze danych – bez ryzyka nieuwzględnienia interakcji strukturalnych między planowanymi zabiegami w różnych kwadrantach.
Wybór zakresu badania zawsze ustala lekarz na podstawie wskazań klinicznych. Tomografia CBCT do implantów z małym lub średnim FOV jest doskonałym wyborem przy wszczepie jednego lub kilku implantów w jednym sektorze; tomografia CBCT zębów – przy zmianach periapikalnych, kanałach korzeniowych i diagnostyce endodontycznej konkretnego zęba; tomografia CBCT stawów SSŻ – przy izolowanej diagnostyce strukturalnej stawów. Badanie szczęki i żuchwy w pełnym zakresie wskazane jest wtedy, gdy zakres leczenia przekracza jeden sektor i wymaga spójnej trójwymiarowej mapy całego układu żucia.
- Jeden plik DICOM dla całego planu leczenia – ortodonta, implantolog i chirurg pracują na identycznych danych z jednego badania; brak ryzyka rozbieżności między osobnymi badaniami sektorowymi wykonanymi w różnych dniach
- Ocena relacji szkieletowych obu szczęk – geometria przestrzenna szczęki względem żuchwy czytelna bez nakładania danych z wielu plików; kluczowe w planowaniu złożonych przypadków
- Symetria kości i struktur po obu stronach jednocześnie – asymetrie natychmiast widoczne przy jednoczesnym porównaniu prawej i lewej połowy; niemożliwe przy badaniach sektorowych w różnym czasie
- Dawka jednorazowa zamiast sumy wielu badań – jedno badanie large FOV może być uzasadnione zamiast dwóch lub trzech oddzielnych CBCT przy rozległym planie leczenia wielomiejscowego
Zatoki szczękowe obustronne i kość całego łuku – jeden plik zamiast dwóch oddzielnych badań
W diagnostyce implantologicznej dotyczącej tylnych odcinków szczęki dno zatoki szczękowej jest strukturą krytyczną. Zbyt mała odległość od planowanego wszczepu wyklucza standardową implantację bez dodatkowych procedur augmentacyjnych. Gdy planujesz implanty po obu stronach górnego łuku lub rozważasz pełną rekonstrukcję szczęki – oba dna zatok muszą być ocenione jednocześnie, symetrycznie, w tym samym odniesieniu przestrzennym.
CBCT szczęki i żuchwy w pełnym polu widzenia dostarcza jednocześnie obraz lewego i prawego dna zatoki. Lekarz ocenia nie tylko odległość od planowanego wszczepu, ale też grubość błony Schneidera – pogrubiona śluzówka przekraczająca 2 mm jest sygnałem przewlekłego stanu zapalnego i może zmienić timing procedury sinus liftingu. W tym samym badaniu widoczna jest morfologia przegród wewnątrzzatokowych – obecność przegród może wymagać modyfikacji techniki sinus liftingu i jest niemożliwa do przewidzenia wyłącznie na zdjęciu panoramicznym.
Równolegle CBCT pełnego łuku dostarcza pomiarów kości wyrostka zębodołowego we wszystkich czterech kwadrantach jednocześnie. Po jednym badaniu lekarz wie, jakie warunki kostne panują w każdym miejscu łuku – nie tylko tam, gdzie zaplanowane są aktualnie implanty, ale też w obszarach, które mogą być zaplanowane w przyszłości. To szczególnie wartościowe przy wieloetapowych rekonstrukcjach implantologicznych, gdzie kość może ulec dalszej atrofii między etapami lub gdzie potrzeba augmentacji w jednym miejscu wpływa na dostępność kości w sąsiednim.
Sumaryczna dawka jednego badania large FOV jest zazwyczaj mniejsza lub porównywalna z łączną dawką dwóch oddzielnych badań sektorowych szczęki i żuchwy, przy jednoczesnym dostarczeniu spójniejszych danych przestrzennych.
- Grubość błony Schneidera obu zatok jednocześnie – sygnał stanu zapalnego wykryty przed zabiegiem; każda strona oceniana niezależnie i porównywalnie
- Przegrody wewnątrzzatokowe (dodatkowe ścianki wewnątrz zatoki) widoczne przed zabiegiem — lekarz może dostosować technikę podniesienia dna zatoki, zamiast odkrywać przeszkodę dopiero podczas operacji
- Odległość dna zatoki od planowanego wszczepu po obu stronach – indywidualna kwalifikacja każdego kwadrantu bez konieczności wykonywania osobnych badań dla lewej i prawej strony
- Kość w każdej ćwiartce łuku zmierzona jednocześnie — mapa wysokości i szerokości kości w całym łuku; wieloetapowy plan implantologiczny układany już na pierwszej wizycie diagnostycznej
Diagnostyka ortodontyczna 3D – CBCT jako uzupełnienie cefalogramu i skanera intraoral
Standardowa diagnostyka ortodontyczna opiera się na skanerze intraoral, zdjęciu pantomograficznym i cefalogramie – trójwymiarowy model zębów, dwuwymiarowy obraz kości, profil twarzy w bocznej projekcji płaskiej. To kompletny zestaw danych dla zdecydowanej większości przypadków. Przy złożonych wadach z komponentem szkieletowym – znaczące dysharmonie klas szkieletowych, asymetria twarzy, dysproporcja między rozmiarami łuków – diagnoza wymaga trójwymiarowego spojrzenia na relacje między szczęką a żuchwą, których cefalogram nie dostarcza.
CBCT szczęki i żuchwy umożliwia przeprowadzenie wirtualnej analizy cefalometrycznej 3D: punkty cefalometryczne wyznaczane są w trójwymiarowym modelu, a relacje kątowe i liniowe mierzone w rzeczywistej przestrzeni, nie na płaskiej projekcji. Asymetrie między lewą a prawą połową szkieletu twarzy – niewidoczne na standardowym cefalogramie bocznym – stają się czytelne i mierzalne.
Ważną klinicznie informacją jest trójwymiarowa pozycja korzeni zębów względem zewnętrznej blaszki kości wyrostka. Ortodontyczne planowanie inklinacji, przechylenia lub ekstruzji zębów bez tego obrazu to stawianie tezy bez danych o twardości gruntu. Zjawisko fenestracji (odsłonięcie korzenia przez kość) lub dehiscencji – przerzedzenia kości po językowej lub wargowej stronie korzenia – jest możliwe do przewidzenia na podstawie CBCT, zanim dojdzie do klinicznego powikłania. Szczegóły planowania leczenia w oparciu o diagnostykę ortodontyczną 3D omawiamy na dedykowanej stronie.
Pełne FOV CBCT jest też źródłem informacji przy planowaniu ortodontyczno-chirurgicznym – ekstrakcjach zębów zatrzymanych, chirurgicznym odsłonieniu kła przed trakcją ortodontyczną, ocenie zatrzymanych ósemek w sąsiedztwie korzeni drugich trzonowców. Każde z tych wskazań wymaga znajomości trójwymiarowej pozycji zęba – niedostępnej na żadnym badaniu 2D.
- Relacje między szczękami mierzone w 3D, nie na płaskim zdjęciu — asymetrie twarzy czytelne jako dokładne liczby, a nie subiektywna ocena wizualna na podstawie projekcji bocznej
- Trójwymiarowa pozycja korzeni zębów w kości — ryzyko odsłonięcia korzenia lub przerzedzenia kości oceniane zanim lekarz zaplanuje ruch ortodontyczny w tym kierunku; zapobiega powikłaniom, nie reaguje na nie po fakcie
- Zęby zatrzymane w 3D – dokładna pozycja zatrzymanego kła lub premolara względem korzeni sąsiednich; planowanie chirurgicznego odsłonięcia i kierunku trakcji bez domysłów
- Relacje szkieletowe obu szczęk jednocześnie – klasa szkieletowa, symetria i przestrzenne relacje między łukami jako baza dla interdyscyplinarnego planu leczenia
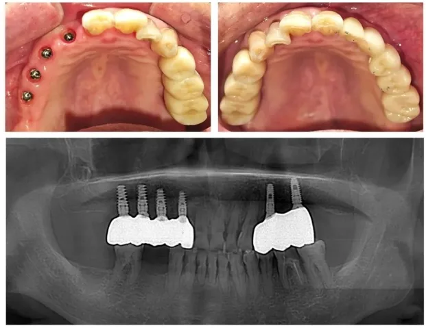
Rozległa implantacja obu łuków i globalna augmentacja – kompleksowy plan z jednego pliku CBCT
Pacjenci wymagający implantacji w wielu miejscach obu łuków jednocześnie – po wielozębowych stratach, zaawansowanej chorobie przyzębia, planowaniu All-on-4/6 dla obu szczęk lub rozległych rekonstrukcjach protetycznych – potrzebują danych o kości w całym układzie. Dwa oddzielne badania sektorowe (osobno szczęka, osobno żuchwa) generują sumę dawek porównywalną lub wyższą od jednego large FOV, nie dostarczając przy tym spójnego widoku relacji między łukami.
CBCT szczęki i żuchwy generuje pełną trójwymiarową mapę obu łuków: lekarz planuje implanty we wszystkich kwadrantach jednocześnie na jednym modelu, widzi dostępną kość w każdym miejscu, identyfikuje regiony wymagające regeneracji kości lub augmentacji i ustala sekwencję etapów przed pierwszą wizytą zabiegową. Planowanie wieloetapowe na jednym pliku eliminuje ryzyko pominięcia interakcji między zabiegami w różnych kwadrantach – np. augmentacja w górnym kwadrancie tylnym może wymagać innego harmonogramu czasowego niż implant w żuchwie, co wpływa na protetyczny plan tymczasowy.
Dla pacjentów po rozległych stratach kostnych, gdzie atrofia wyrostka przebiega asymetrycznie, CBCT pełnego łuku jest szczególnie wartościowe. Różna wysokość wyrostka po prawej i lewej stronie obydwu szczęk jednocześnie wpływa na optymalną pionową pozycję implantów i relację protetyczną – dane dostępne wyłącznie gdy oba łuki są obejrzone jednocześnie. Wynik diagnostyczny przekłada się bezpośrednio na strukturę planu protetycznego, w tym planowanie stałych lub ruchomych uzupełnień pośrednich i dobór relacji zgryzowej przy rozległej rekonstrukcji.
- Planowanie implantów wszystkich kwadrantów na jednym modelu – przestrzenne relacje między miejscami wszczepienia widoczne jednocześnie; planowanie wieloetapowych rekonstrukcji bez ryzyka pominięcia interakcji
- Mapowanie augmentacji globalnie – wszystkie regiony z deficytem kości na jednym widoku; optymalny harmonogram regeneracji i implantacji może być ułożony przed pierwszą wizytą zabiegową
- Asymetria kości obu łuków – różna wysokość wyrostka po prawej i lewej w obu szczękach widoczna jednocześnie; planowanie protetycznej relacji pionowej w oparciu o rzeczywistą geometrię kości
- Jedno badanie zamiast kilku sektorowych — przy rozległym planie całoukładowym pojedyncze badanie pełnego łuku generuje mniej łącznej dawki promieniowania niż seria oddzielnych badań sektorowych obejmujących ten sam obszar
Wskazania do tomografii CBCT szczęki i żuchwy w pełnym polu widzenia
Badanie large FOV jest uzasadnione, gdy zakres leczenia przekracza jeden sektor lub gdy konieczna jest ocena relacji między całą szczęką a całą żuchwą jednocześnie. Poniżej sześć typowych wskazań klinicznych.
Planowanie implantów wielu miejsc obu łuków jednocześnie
Wszczepy w więcej niż jednym sektorze z koniecznością oceny kości, zatok i kanałów żuchwowych dla całego układu – badanie sektorowe musiałoby być powtórzone kilkakrotnie, generując wyższe łączne dawki bez spójnego widoku relacji między miejscami.
Obustronne podniesienie dna zatoki szczękowej
Sinus lifting po obu stronach wymaga niezależnej oceny każdej zatoki w tym samym odniesieniu przestrzennym – grubość błony Schneidera, obecność przegród wewnątrzzatokowych, dystans do kości. Dane możliwe do porównania tylko z pełnego FOV.
Planowanie All-on-4 lub All-on-6 jednej lub obu szczęk
Rekonstrukcja pełnego łuku wymaga wirtualnego planowania nie tylko pozycji każdego implantu, ale i relacji między górną a dolną kością niosącą protetykę. Jedno badanie dla całego układu eliminuje niespójność między planami dla obu łuków.
Diagnostyka ortodontyczna przy wadzie szkieletowej
Znaczące asymetrie twarzy, duże dysharmonie klas szkieletowych, asymetria łuków lub planowanie interdyscyplinarne (ortodoncja + zabiegi chirurgiczne) wymagają 3D obrazu relacji całego kompleksu kostnego – niemożliwego do uchwycenia na cefalogramie 2D.
Rozległe zmiany torbielowate lub patologie szczęk
Duże torbiele zębopochodne, rozległe granulomy, zmiany o niejasnej etiologii przekraczające granicę jednego sektora wymagają pełnego obrazu zasięgu zmiany bez ograniczenia pola widzenia. Standard diagnostyczny w takich przypadkach.
Kompleksowa dysfunkcja SSŻ z towarzyszącymi patologiami zębowo-kostnymi
Gdy dysfunkcja stawów skroniowo-żuchwowych współistnieje z wymagającymi oceny wadą zgryzu, wadami kości lub planowaną implantologią – oba stawy i cały układ zębowy oceniane łącznie w jednym badaniu.
Badanie Modjaw – analiza funkcjonalna stawów i mięśni żucia →Planujesz rozległe leczenie i potrzebujesz pełnej mapy szczęki oraz żuchwy? Zapraszamy.
Wykonujemy tomografię CBCT szczęki i żuchwy w pełnym polu widzenia w OrtoRodzina – ul. Maćka z Bogdańca 16C, 92-434 Łódź (Widzew). Wynik DICOM gotowy tego samego dnia; lekarz omawia go podczas wizyty i planuje kolejne etapy leczenia na miejscu. Ceny orientacyjne — ostateczna wycena po konsultacji z lekarzem.
Pacjenci o kompleksowej diagnostyce i implantologii w OrtoRodzina Łódź
Tomografia CBCT szczęki i żuchwy – najczęściej zadawane pytania
Badanie sektorowe (small lub medium FOV) rejestruje wybrany obszar jamy ustnej – jeden sektor, jedna zatoka, jeden staw lub jedna grupa zębów. Dawka minimalna, rozdzielczość maksymalna w obszarze zainteresowania – to optymalny wybór przy diagnozowaniu ograniczonego problemu. Tomografia szczęki i żuchwy (large FOV) rejestruje w jednym obrocie gantry cały kompleks zębowo-szczękowy: oba łuki zębowe, cztery kwadranty, obie zatoki szczękowe, oba kanały żuchwowe, stawy skroniowo-żuchwowe i geometrię szkieletu twarzoczaszki. Dawka jest wyższa niż przy jednym badaniu sektorowym, ale zazwyczaj niższa lub porównywalna z sumą kilku oddzielnych badań sektorowych, które przy rozległym planie musiałyby być wykonane osobno. Wybór zakresu zawsze ustala lekarz na podstawie konkretnych wskazań klinicznych.
Dawka pochłonięta zależy od rozdzielczości i zakresu pola widzenia zastosowanego w badaniu. Przy typowym large FOV (13x15 cm lub 16x16 cm) do planowania implantologicznego lub ortodontycznego wynosi ok. 60–180 µSv – kilkanaście razy więcej niż jedno zdjęcie OPG (ok. 5–10 µSv), ale wielokrotnie mniej niż spiralna tomografia medyczna CT głowy i szyi (ok. 600–1000 µSv). Dawka tła środowiskowego w Polsce wynosi ok. 2400 µSv rocznie – jedno badanie large FOV odpowiada ok. 2–5 tygodniom naturalnego tła. Lekarz zleca ten zakres badania wyłącznie gdy jest klinicznie uzasadniony i gdy zastępuje serię mniejszych badań, redukując łączną ekspozycję pacjenta.
Koszt badania ustalany jest indywidualnie na podstawie wskazań klinicznych i zakresu pola widzenia. Cena zależy od tego, czy badanie obejmuje pełny large FOV, czy możliwe jest zawężenie pola przy zachowaniu diagnostycznej wartości dla konkretnego planu. Najdokładniejszą wycenę uzyskasz podczas konsultacji, kiedy lekarz oceni wskazania i zaproponuje odpowiedni zakres badania. Pełny cennik dostępny na naszej stronie.
Tak – to jedna z głównych praktycznych zalet badania large FOV. Format DICOM jest otwartym standardem odczytywanym przez oprogramowanie ortodontyczne (Dolphin Imaging, InVivo Dental), implantologiczne (Simplant, Planmeca Romexis) i ogólnochirurgiczne. Jeden plik zawiera pełne dane przestrzenne; każdy specjalista wczytuje go we właściwym dla siebie programie bez konwersji i bez utraty danych. W OrtoRodzina plik jest dostępny na pendrive lub płycie CD od razu po badaniu – bez dodatkowych kosztów. Gdy plan zakłada konsultację z zewnętrznym chirurgiem lub ortodontą, pacjent zabiera identyczny plik, z którym pracuje nasz lekarz.
Sama ekspozycja trwa 10–30 sekund – tyle samo co każde inne badanie CBCT. Różnica między badaniem sektorowym a pełnym łukiem to wyłącznie zakres pola widzenia rejestrowanego przez detektor podczas obrotu, nie czas przebywania pacjenta przy aparacie. Rekonstrukcja pliku DICOM po ekspozycji zajmuje kilka minut. Z przyjazdu do wyjścia z kliniki, wliczając rekonstrukcję i wstępne omówienie wyniku przez lekarza, zazwyczaj ok. 20–30 minut. Badanie nie wymaga żadnego przygotowania, nakłuć ani środków kontrastowych.
Nie całkowicie – pełnią różne role diagnostyczne. OPG jest szybkim, niskonakładowym przeglądem uzębienia i kości – pierwszym badaniem przy ocenie ogólnego stanu uzębienia, leczeniu kanałowym, ocenie dziąseł lub diagnostyce asymptomatycznej. CBCT szczęki i żuchwy to zaawansowane badanie wykraczające poza zastosowanie OPG – dostarcza danych przestrzennych, ale przy wyższej dawce i kosztach. W OrtoRodzina OPG pozostaje standardem pierwszego badania obrazowego; CBCT jest zlecane, gdy wskazania kliniczne uzasadniają trójwymiarową ocenę. Oba badania dostępne są w klinice bez odsyłania do zewnętrznych pracowni.
Tak – diagnostyka CBCT, planowanie implantologiczne, sama implantacja, augmentacja kości oraz uzupełnienia protetyczne realizowane są w OrtoRodzina w jednym miejscu. Plik DICOM z badania jest od razu do dyspozycji lekarza prowadzącego; nie ma potrzeby odsyłania do zewnętrznej pracowni radiologicznej. Bezpośredni dostęp do danych eliminuje ryzyko utraty jakości danych lub opóźnień komunikacyjnych. Od CBCT do wszczepienia i korony – kompleksowy plan realizowany bez zmiany kliniki.
Tomografia CBCT szczęki i żuchwy – powiązane usługi diagnostyczne i implantologiczne
Pełne FOV CBCT to punkt wyjścia do rozległego planowania leczenia. Poniżej usługi realizowane w OrtoRodzina na podstawie danych z badania tomograficznego.
Implanty zębowe
Standardowe wszczepy tytanowe jako stałe uzupełnienie brakujących zębów – planowanie na podstawie CBCT pełnego łuku przy implantacji wielomiejscowej w obu szczękach.
Dowiedz się więcej
All-on-4 – stałe zęby na czterech implantach
Pełny łuk protetyczny oparty na czterech implantach – kąty osi i pozycje wszystkich wszczepów planowane jednocześnie na CBCT pełnego łuku z szablonami chirurgicznymi.
Dowiedz się więcej
Diagnostyka bruksizmu
Kompleksowa diagnostyka układu stomatognatycznego – badanie Modjaw, analiza napięcia mięśni żucia i w razie wskazań CBCT stawów lub pełnego łuku dla oceny strukturalnej.
Dowiedz się więcej
RTG zębów – OPG panoramiczne
Zdjęcie panoramiczne jako pierwsza linia diagnostyki – przegląd uzębienia i kości obydwu łuków w jednej ekspozycji; uzupełniane CBCT pełnego łuku gdy leczenie wymaga danych przestrzennych.
Dowiedz się więcej
All-on-6 – stałe zęby na sześciu implantach
Pełna rekonstrukcja łuku na sześciu implantach – zwiększona stabilność i możliwość implantacji w odcinkach tylnych; pozycje wszystkich wszczepów planowane jednocześnie na CBCT pełnego łuku.
Dowiedz się więcej
Podniesienie dna zatoki szczękowej
Procedura augmentacyjna tworząca przestrzeń pod implant gdy kość nad zatoką jest zbyt cienka – wskazanie i technika ustalane na podstawie CBCT pełnego łuku (grubość błony, obecność przegród).
Dowiedz się więcejUmów tomografię CBCT szczęki i żuchwy w OrtoRodzina – pełna mapa 3D dla rozległego planu leczenia
Zapraszamy na diagnostykę CBCT w OrtoRodzina – ul. Maćka z Bogdańca 16C, 92-434 Łódź (Widzew). Tomografia szczęki i żuchwy w pełnym polu widzenia – jeden plik dla ortodonty, implanatologa i chirurga, dostępny tego samego dnia. Planowanie rozległego leczenia bez odsyłania do zewnętrznych pracowni. Ceny orientacyjne — ostateczna wycena po konsultacji z lekarzem.
Ortodoncja
Umów konsultację ortodontyczną w Łodzi
Podczas konsultacji ortodontycznej w naszej klinice przy ul. Maćka z Bogdańca 16C w Łodzi:
- ocenimy wadę zgryzu i wykonamy diagnostykę
- omówimy dostępne metody leczenia
- przedstawimy orientacyjny koszt terapii
- zaplanujemy kolejne etapy leczenia
Jeśli interesują Cię aparaty ortodontyczne, nakładki ortodontyczne lub chcesz poznać orientacyjny koszt leczenia — zostaw dane w formularzu lub zadzwoń do nas bezpośrednio.
Masz pytanie o leczenie ortodontyczne? Nasz zespół pomoże dobrać najlepszą metodę dopasowaną do Twojej wady zgryzu.
+48 507 090 990Pon. – Pt. 9:00–20:00
- doświadczeni ortodonci
- nowoczesna diagnostyka 3D
- leczenie dzieci i dorosłych
- indywidualny plan leczenia
- Łódź – Widzew · Maćka 16C
Zostaw dane — oddzwonimy jeszcze dziś.
Oddzwaniamy w godzinach pracy kliniki — zwykle jeszcze tego samego dnia.
-
Adres
ul. Maćka z Bogdańca 16C
92-434 Łódź, Widzew - Telefon +48 507 090 990
-
Godziny otwarcia
Pon. – Pt.: 9:00 – 20:00
Sob. – Nd.: Zamknięte
